Praxislogo Homepage

Chirurgie

Dr. Dieter Mller
FTA fr Kleintiere, Chirurgie, Augenheilkunde

Fr Operationen stehen zwei nach Hygienekriterien getrennte Operationssle zur Verfgung: Fr aseptische Eingriffe z.B. an Knochen oder Gelenken und fr septische Eingriffe wie z.B. der Behandlung von verschmutzten Wunden oder Abszessen. Die Eingriffe werden nach der Sedation und Gabe eines potenten Schmerzmittels mit Hilfe der Inhalationsnarkose durchgefhrt. Dabei wird der Patient ber einen in der Luftrhre platzierten Tracheotubus mit medizinischem Sauerstoff unter Beigabe des Narkosegasgemisches beatmet. Dieses Narkoseverfahren ist auch in der Humanmedizin Standard besonders sicher und schonend.

Die Patientenberwachung (das sogenannte Monitoring) umfat neben dem permanenten EKG, die Messung der Sauerstoffsttigung im Krper (Pulsoximetrie) und die Messung des Kohlendioxid Anteils in der Ein- und Ausatmungsluft.

Wir fhren alle gngigen Eingriffe im Brust- und Bauchraum durch, z.B.:

  • Fremdkrperentfernung
  • Darmverschlu
  • Hernienoperationen
  • Magendrehung
  • Blasensteine
  • Harnrhrenverstopfungen
  • Kaiserschnitt
  • Tumorentfernungen

Ein weiterer Arbeitsschwerpunkt liegt in den Bereichen der Orthopdie und Frakturversorgung , z.B.:

  • Knochennagelungen
  • Knochenverplattungen
  • Externe Schienung (Fixateur externe)
  • Bandscheibenoperationen
  • Gelenkoperationen am offenen Gelenk
  • endoskopische Gelenkoperationen
  • Bandersatz-Operationen
  • Hftgelenksersatz (Endoprothese)

Unsere Instrumentenstze reichen von filigranen Mini-Implantaten fr kleinste Hunde und Katzen bis hin zu besonders stabilen Implantaten fr groe und schwere Hunde.

Chirurgie von A bis Z

Augen-Chirurgie

  • ueres Auge
  • inneres Auge

Arthroskopische Gelenkeingriffe

Gelenk-Chirugie

Gynkologische-Chirurgie

  • Kaiserschnitt
  • Kastrationen
  • Sterilisationen

Hftgelenks-Chirurgie

  • Dreifache Beckenosteotomie
  • Varisationsosteotomie
  • Pfannendachplastik
  • Neurektomie
  • Femurkopfresektion
  • Hftgelenksprothese

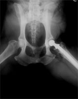
Hftgelenksprothese  Hund
Hftgelenksprothese beim Schferhund

Neurochirurgie

Orthopdische Chirurgie

Osteosynthesen, Knochenbrche, Fehlstellungen

  • Knochennagelungen
  • Verplattungen
  • Fixateur externe

Thoraxchirurgie

  • Operationen im Brustkorb
  • Operationen am Herzbeutel
  • Entfernung von Lungenteilen (Lobektomien)

Tumor-Chirurgie

Weichteilchirurgie

Zahnbehandlungen