Praxislogo Homepage

Patientenberichte - Dreifache Beckenosteotomie DBO

Dr. Dieter Mller
FTA fr Kleintiere, Chirurgie, Augenheilkunde

DBO Hund Balou Heilungsverlauf

Video DBO Hund Balous Rekonvaleszenzphase

DBO Hund Nala im Wasser

Nala hat ihre beidseitige DBO berstanden mehr...

DBO Hund Marlo

DBO Hund Marlo spielt mit dem Gartenschlauch

Geschichte zu Marlos DBO Operation im Jahre 2009

Marlo_1
Marlo_2

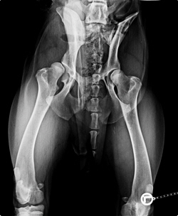
Marlos Hftgelenke vor und nach der DBO


Sehr geehrter Herr Dr. Mller,
ich mchte mich noch einmal fr Ihr Verstndnis bedanken. Unsere Heimfahrt war entspannt und unserem Oskar ging es entsprechend gut. Er schlief fast bis zu Hause. Im Gegensatz zur Hinfahrt von 6,5 Stunden haben wir fr den Rckweg nur erstaunliche 3 3/4 Stunden bentigt.
Gleich am nchsten Tag waren wir zur Weiterbehandlung bei unserer Tierrztin: Antibiose, Schmerzmedikation etc. Ich hte den Hund wie ein rohes Ei, doch ich bin natrlich besorgt, es knnte etwas mit den Schrauben passieren. Seine Beinstellung geht jetzt nach etwas nach auen, ist das so normal - also durch die OP verursacht und gewollt? Es wre sehr nett, wenn Sie kurz sagen knnten, ob das so in Ordnung ist oder die Beinstellung bedenklich ist.

[ Kein Grund zur Sorge: Die nach der Operation nicht immer aber bisweilen zu beobachtende leichte Auenrotation des Beines beruht auf der neuen korrekten Stellung der Hftgelenkspfanne, an die sich der Hund gewhnen muss. Er ist ja bisher mit einem flachem fehlgestellten Gelenk herumgelaufen. Diese Schonhaltung verschwindet nach wenigen Wochen; Dr. Mller].

I
ch habe Ihnen ein kleines Video gedreht, worauf man ganz gut sehen kann, wie er das Bein nach auen dreht.

Herzlichen Dank im Voraus und viele Gre,
N. K.

Cooper
Am 26.08.2011 habe ich bei meinem Hund Cooper das Kontrollrntgen machen lassen, dass 6 Monate nach der DBO stattfinden sollte.
Fr mich war die OP auf jeden Fall ein voller Erfolg. Aus meinem ziemlich gehfaulen Junghund, den man mehr oder weniger zu jeden Spaziergang zwingen musste, ist innerhalb der letzten 6 Monate ein lauffreudiges Energiebndel geworden. Sobald sich fr Cooper eine Mglichkeit zum Laufen oder Spielen bietet, nutzt er diese sofort.
Auch hat man zu keinem Zeitpunkt mehr das Gefhl, dass er noch Schmerzen hat.
S. K.

Video starten

Video: Gangbild 3 Tage nach DBO Operation


Lucy  WDR Hilfeaufruf
Abgeheilte DBO Wunden

Lucys Operationswunden sind komplikationslos abgeheilt, weil  sie konsequent einen Halskragen bis zum Fdenziehen getragen hat.

Lucy auf der Rampe
Das Leben ohne HD ist schn

Lucie: sechs Wochen lang sollte nach einer DBO das Treppensteigen vermieden werden. Lucy nimmt die Rampe.

Lucy auf dem Unterwasserlaufband

Lucy trainiert auf dem Unterwasserlaufband um ihre Muskulatur aufzubauen.

Lucie hat es geschafft: Beide Hftgelenke sind perfekt verheilt. Sie darf rennen, springen, spielen und toben. Die HD ist vergessen.


Kangal Azad vor DBO Operation

Kangal Azad konnte vor der DBO Operation kaum laufen

Kangal Azad DBO rechts

Zuerst wurde die am strksten betroffene rechte Seite umgestellt

Kangal Azad DBO beidseitig

Azads Becken ist abgeheilt. Die Gelenkkapsel rechts ist noch locker und wird im Laufe der Zeit immer fester werden. Die Steilstellung des rechten Oberschenkelkopfesist nachder DBO verschwunden. Azad ist topfit und htet seine Familie.


Chicko am Strand Chicko nach DBO1

Jetzt haben wir fast ein halbes Jahr geschafft und unserem Chicko geht es sehr gut. Zur Zeit sind wir an der hollndischen Nordsee und unser Hund fhlt sich puddelwohl im Wasser .


Lennon & Kaya_1
Lennon & Kaya_2

Vorletzten Samstag haben sich Lennon und Kaya , beides DBO Patienten von Ihnen zum ersten mal getroffen. Kayas Frauchen und ich hatten uns vor Lennons OP kennengelernt und sie hat mir viele Ratschlge gegeben und mir von Kayas OP und danach berichtet, mittlerweile durften sich dann auch unsere Hunde kennenlernen. Sie haben so schn miteinander gespielt, gerannt und getobt, es war herrlich anzusehen. Wir wollten ihnen nochmal Danke sagen, da sie unseren Hunden das ermglicht haben!


Lotta nach DBO

Ich schaue aus dem Fenster unseres Gartenhuschens, in das wir seit Lottas erster OP im Mrz gezogen sind, weil sie im Moment noch nicht Treppen steigen darf und sehe unseren Hund munter und ausgelassen mit seinem Lieblingsspielzeug auf dem Rasen herumtoben. Der Leinenzwang ist aufgehoben, alles ist gut verheilt und unsere Lotta ist wie neugeboren. Man kann dabei zusehen, wie sie immer krftiger, selbstbewusster und aufgeschlossener wird und das "neue" Leben sichtlich geniet, dass Sie ihr ermglicht haben.
Als Lotta im Februar pltzlich anfing, das rechte Hinterbein anzuziehen und nur noch dreibeinig lief, sich dazu der Oberschenkelkopf sichtbar aus der Hfte schob, dachten wir schon, jetzt sei alles vorbei. Die Rntgenbilder, die in der Tierklinik gemacht wurden, zeigten HD auf beiden Seiten. Rechtsseitig befand sich der Oberschenkelkopf schon auerhalb der Pfanne und verursachte Lotta so starke Schmerzen, dass selbst Tabletten nicht mehr halfen und wir keine Nacht zum Schlafen kamen. Die rzte schauten uns nur mitleidig und hilflos an. Wir sollten warten, bis sie ausgewachsen sei, dann knne man ihr knstliche Hften einsetzen. Im Grunde sah man ihnen an, dass sie diesen Fall fr hoffnungslos hielten, es uns aber nicht zu sagen wagten. So wurden wir praktisch mit Lottas Todesurteil stehen gelassen, denn weitere 6 - 7 Monate, bis sie ausgewachsen gewesen wre, htte sie in ihrem Zustand, der sich schnell verschlechterte, auch mit den strksten Schmerzmitteln nicht durchgestanden.
In meiner Verzweiflung, nur die Alternativen Tod oder knstliche Hften (auch = Tod) vor Augen, hab' ich mich vor den PC gesetzt und "HD bei Welpen" eingegeben. Und, gelobt sei das Internet, so habe ich Sie und Ihre Methode der DBO kennengelernt. Diese Methode erschien mir sehr plausibel und ich erzhlte meinem Osteopathen davon, der mir besttigte, dass das eine gute Sache sei, die man hnlich auch bei Menschen anwende.
Mein Mann und ich sind froh, dass wir Lotta von Ihnen haben operieren lassen und dankbar, dass Sie uns Mut gemacht haben, als unsere rzte in B. uns von der DBO dringend abraten wollten.
Wir hoffen, dass Ihre Methode der DBO noch vielen jungen Hunden und deren verzweifelten Besitzern helfen kann und werden auf jeden Fall dazu beitragen, deren Bekanntheitsgrad zu steigern.
Noch einmal, Danke fr Alles! Ganz herzliche Gre aus B.


Viocky_400

Unsere Vicky ist ja am 16.01.2012 bei Ihnen operiert worden und wir wollten uns  - auch im Namen von Vicky - nochmals ganz herzlich fr die gute Betreuung und vor allen Dingen fr die "Rettung" unserer Vicky bedanken. Man fhlt sich bei Ihnen sehr gut aufgehoben, auch wenn die Situation ja eigentlich keine schne ist.
Die Vicky ist schon fast wieder die Alte. Sie ist wieder guter Dinge und freut sich des Lebens (Momentan noch mit Tte, aber diese trgt sie mit Wrde).
Viele Grsse nach Heinsberg,
Familie V.


Filip DBO 400 breit

Filips DBO ist nun schon mehr als 4 Wochen her und es geht ihm wirklich prima.
Leider musste ein kleines Stck der Narbe neben der Rute mit 2 Klammern nachversorgt werden, da sie an dieser Stelle auch nach 16 Tagen noch nicht geschlossen war. Aber das ist nun auch lngst ausgestanden und alles sieht gut und vllig reizfrei aus. Filip war heilfroh, als er nach mehr als 3 Wochen endlich den Halskragen los wurde. Und wir auch.
Er ist frhlich und gut gelaunt, sehr agil und lauffreudig. Wir achten aber auf ihn, dass er nichts Falsches macht oder sich bernimmt. Aber 3 x pro Tag fr eine gute halbe Stunde (an der Leine) spazieren gehen ist fr ihn kein Problem. Er fhlt sich unterfordert und wrde bestimmt gerne mehr tun.
Hier im Haus spielt er manchmal etwas wild mit seinen Plschtieren, die er herumschleudert, um sie dann wieder zu fangen. Wenn er zu ausgelassen wird, bremsen wir ihn natrlich. Andererseits freuen wir uns, dass es ihm so gut geht. Olli und Lena, seine Artgenossen, scheinen zu wissen, dass wilde Spiele zur Zeit noch verboten sind, und halten sich zurck.
Bislang tragen wir ihn immer noch die 5 Stufen am Hauseingang rauf und runter. Filips Gewicht ist unverndert (14,5 KG), obwohl ich die Futterration kaum sprbar reduziert habe. Sein "Fliegengewicht" hilft ihm bestimmt, schneller zu genesen. Er ist aber nicht untergewichtig.
Herzliche Gre nach Heinsberg. G. P.

Filip Karneval 400 breit

Vielen herzlichen Dank fr Ihre Nachricht. Sie knnen sich nicht vorstellen, wie erleichtert wir sind. Wir freuen uns so ungemein fr Filip. Nun kann er sich auf ein beschwerdefreies Leben freuen. Besser htte das Wochenende gar nicht beginnen knnen. In 2 Wochen fahren wir in Urlaub. Bis dahin werde ich ihn "antrainieren", ihn zunchst an der langen Leine laufen lassen, damit er mir nicht durchbrennt, da scheint er nmlich drauf zu warten. Eine Physiotherapeutin wird mir ein paar bungen zeigen, die ich mit ihm zuhause machen kann, damit der Muskelaufbau gefrdert wird. Damit Sie Ihren Patienten nicht vergessen, sende ich Ihnen hier ein kleines Erinnerungsfoto, das ich heute aufgenommen habe. Herzliche Gre und nochmals danke, danke, danke. G.P.


L ieber Dr. Mller und Team,
nun sind 5 1/2 Wochen seit der 2. OP vergangen und Nala geht es wirklich gut. Sie mchte am liebsten sprinten wie eine Weltmeisterin, aber das lasse ich langsam mit ihr angehen. Wir freuen uns sehr, unseren Hund in so guter Verfassung zu sehen und sehen der Muskelstrkung und dem weiteren Heilungsverlauf im nchsten halben Jahr entspannt entgegen, jeden Tag wird es ein bisschen besser.
Aus Berlin grt A. S.


Filip nach 3 Monaten 400 1 Filip nach 3 Monaten 400 2 Filip nach 3 Monaten 400 3

Heute ist es genau 3 Monate her, dass Sie Filip operiert haben. Und htten wir es nicht selbst erlebt, wrden wir es heute nur schwer glauben knnen. Letzten SO sind wir aus unserem Urlaub zurckgekommen. Wir waren mit den Hunden 3 Wochen in Bayern. Wir hatten sowohl noch richtigen Winter als auch schon so etwas wie Frhsommer, das Wetter war in der Tat sehr vielfltig.
Jeden Tag haben wir Wanderungen gemacht, deren Distanz und Dauer stndig gesteigert wurden.
Filip hatte berhaupt kein Problem, mitzuhalten. Ganz im Gegenteil. Er ist die Strecken immer mindestens 5x gelaufen, war stndig im Zickzack unterwegs und sein Bewegungsdrang nicht zu bremsen.
Er war sowohl im Schnee als auch nachher auf den Wiesen oder beim Planschen im See unermdlich und mit so viel Freude dabei, dass wir nur staunen konnten.
Und was die anfnglich noch etwas eiernden Bewegungsablufe angeht, hatten sie Recht: Mittlerweile luft er fast 100%ig klar, es war wohl wirklich nur eine Schonhaltung. Ab und zu fllt es uns noch auf - weil wir um seine OP wissen - ein Unbeteiligter wrde es sicher nicht bemerken.
Wir sind so froh, dass wir im Dezember Ihrer Empfehlung gefolgt sind und die DBO bei Filip haben durchfhren lassen. Vielen Dank nochmals dafr.
Herzliche Gre nach Heinsberg G. P.


DBO, TPO  beidseitig Balou

Tibet Terrier Balou hat einen sehr persnlichen Bericht ber seine beidseitige DBO Operation geschrieben mehr ...

DBO Dreifache Beckenosteotomie Physiotherapie - Unterwasserlaufband

Das Training auf dem Unterwasserlaufband fhrt nach der Operation zu einer schnellen Krftigung der Muskulatur.


DBO Hund Marlo OP 2009
DBO Hund Marlo im Schnee

DBO Hund Marlo
Wir hatten Jahr Angst, Stress und Probleme…aber was ist ein halbes Jahr gegen ein ganzes Leben was vor diesem Hund liegt. Danke! Sie haben uns damals gesagt, dass die OP notwendig sei. Nachdem nun ein Jahr um ist wissen wir, dass dies DBO OP das Beste war, was dem Hund passieren konnte. Wenn er derzeit drauen ist dann spielt er wie ein normaler Hund; er fllt beim toben hin, steht auf und spielt weiter. Ist halt ein ganz normaler Hund… J . Die Bilder sind im Laufe dieses Jahres gemacht worden; heute hat Marlo 40 kg und strotzt nur so vor Kraft und Unsinn. Danke fr dieses wunderschne Weihnachtsgeschenk! Danke fr den tollen Job“.
Schnes Weihnachtsfest und alles Gute fr 2011!
Oliver, Alexandra und Jennifer G. mit Marlo


DBO HUnd Nala spielt im Wasser

Nala beidseitige DBO im Dezember 2011

Guten Tag Herr Dr. Mller und Team,
nun liegen die Operationen unserer Hndin schon eine Weile hinter uns (27.12.11 DBO rechts und 06.02.12 DBO links) und wir wollten Sie kurz wissen lassen: Unserer Hndin Nala geht es fantastisch und sie hat eine Lebensfreude, wie wir sie vorher nicht von ihr kannten. Wir freuen uns alle ber die gelungenen DBO-Operationen und sind berzeugt, die richtige Entscheidung getroffen zu haben. Wir erkennen unseren Hund nicht im Vergleich zum letzten Sommer, da waren wohl die Schmerzen zu gro, jetzt ist das Toben und Schwimmen kaum zu bremsen. Auch beim Spazieren gehen hatten wir vorher den Eindruck, Nala macht dies nicht besonders gern, jetzt ist sie schon aufgeregt und freut sich, wenn wir ihr nur das Halsband anziehen.
Nach einem Erfahrungsaustausch mit einem Hundebesitzer mit gleicher OP-Erfahrung, jedoch bei einem anderen Arzt hat sich auch unsere berzeugung besttigt, den weiten Weg von Berlin nach Heinsberg zu fahren war richtig. Mit Ihrer langjhrige Erfahrung auf diesem Gebiet haben Sie wohl jngeren Kollegen einiges voraus.
Wir gren ganz herzlich aus Berlin
Familie S.