Praxislogo Homepage

Dr. Dieter Mller
FTA fr Kleintiere, Teilgebiet Chirurgie, Augenheilkunde

HD Therapie mit der DBO Dreifachen Beckenosteotomie (engl. TPO Tripple Pelvic Osteotomy)

Die Schockdiagnose Hftgelenksdysplasie

Die Hftgelenksdysplasie des Hundes ist trotz aller Bemhungen wie Rntgenuntersuchungen und Zuchtselektion ein Dauerthema. Wenn eine Hftgelenksdysplasie rntgenologisch festgestellt wurde, sind die Tierbesitzer schockiert und verzweifelt. Fr die Tierrztinnen und Tierrzte ist nicht so sehr die exakte Diagnosestellung das Problem, sondern der Umgang mit der Diagnose. Die Tierbesitzer erwarten eine Hilfestellung und mglichst eine Befreiung aus der beklemmenden Situation. Sie wnschen eine Therapie und wollen, dass sich ihr Familienmitglied Hund wieder schmerzfrei bei guter Lebensqualitt und Prognose bewegen kann. Bei der Flle der heute angebotenen Therapiemglichkeiten ist es nicht ganz leicht die optimale Behandlung zu finden. Man sollte objektiv beratend zur Seite zu stehen. Die Tierbesitzer recherchieren im Internet und holen sich nicht selten eine Zweitmeinung ein. Die Abfolge nach HD-Diagnose: Schonung, Muschelextrakte, Schmerzmittel und Warten auf die Prothese ist beim Junghund nicht selten anzutreffen aber kritisch zu hinterfragen, weil es in den meisten Fllen die reale Chance gibt, mit der Beckenumstellung (DBO) die natrlichen Hftgelenke zu retten und dauerhaft funktional und belastbar zu erhalten.

Die Definition der HD

Unter HD versteht man die genetisch und umweltbedingte Fehlentwicklung des Hftgelenkes whrend des Wachstums. Als Folge passen Oberschenkelkopf und Pfanne nicht mehr richtig zusammen. Meist ist die Form und Tiefe der Pfanne unzureichend, es gibt aber, wenn auch selten, isolierte Gren- und Formvernderungen des Oberschenkelkopfes. Beim offiziellen HD-Rntgen im Alter von 12 Monaten werden die Gelenke an Hand von festgelegten Kriterien klassifiziert, um eine Zuchttauglichkeit festzustellen. Bei der blichen in Rckenlage mit gestreckten Beinen angefertigten Aufnahme werden dysplastische Gelenke hufig nicht erkannt, weil die Lockerheit des Gelenkes durch die Verdrehung der Kapsel beim Strecken und Eindrehen maskiert wird. Die Lockerheit des Hftgelenkes ist jedoch der Schlssel zum Verstndnis der HD und der dynamisch fortschreitenden Vernderungen der Gelenkstrukturen. Normalerweise wird die Stabilitt des Hftgelenkes durch eine straffe Gelenkkapsel, den Muskeltonus, das zentrale Band und durch eine hinlnglich gute berdachung des Oberschenkelkopfes erreicht.

Die Lockerheit des Hftgelenkes

Beim instabilen Gelenk liegt der Oberschenkelkopf locker in der Pfanne, sodass er seine Lage verndern kann. Der feste Sitz des Oberschenkelkopfes in der Gelenkpfanne ist jedoch entscheidend, da vom Kopf ein plastischer Reiz zur korrekten Ausbildung der Pfanne ausgeht. Ohne den festen Druck bleibt die Pfanne im Wachstum zurck und wird immer flacher. Dies fhrt zu einem strkeren Herausgleiten des Kopfes aus der Pfanne. Der Druck auf den Pfannenrand wird weiter erhht. Die Pfanne wird immer flacher und flacher und der Oberschenkelkopf wandert immer weiter heraus. Diesen Teufelskreis hat Olsson bereits 1980 beschrieben.

Die flache Pfanne

Der unzureichende Druck auf den Kopf hat zur Folge, dass der Oberschenkelhals immer steiler steht (Halssteilstand). Der Druck fhrt beim nicht-dysplastischen Hund zu einem Abwrtsdrcken des Halses und einer korrekten Schenkelhals-Schaft-Winkelung von ca. 135. Bei einer frh auftretenden Luxation kommt es in der Regel zur Steilstellung des Halses, weil die Gegenkraft fehlt - es liegt eine luxationsbedingte flache Pfanne vor. Die Schenkelhals-Schaft-Winkelung betrgt 160 und mehr. Von einer Subluxation spricht man, wenn der Oberschenkelkopf Kopf bis zur Hlfte aus der Pfanne herausgleitet. Im Extremfall haben Kopf und Pfanne keinerlei Kontakt und die Pfanne stellt sich nur noch als eine flache Grube dar. Bei einer solchen Konstellation ist brigens ein sicherer Protheseneinsatz nur sehr schwer zu erreichen. Bei der dysplastischen Luxation liegen die Kpfe auerhalb der Pfanne, gehalten wird das Hftgelenk nur noch von der stark gezerrten und entsprechend schmerzhaften Gelenkkapsel. Wie gesagt, eine gesunde Ausformung der Pfanne kann nur bei einem festen Sitz des Kopfes mit entsprechender Druckbelastung erfolgen. Ein Halssteilstand und eine Vorwrtsdrehung des Halses (Antetorsion) verstrken die Instabilitt des Hftgelenkes und damit die Schmerzen.

Wie erkenne ich eine HD?

Hunde artikulieren ihren Hftschmerz nicht direkt, zeigen aber Aufflligkeiten: Sie sind ruhiger, spielen wenig, zeigen ein- oder beidseitigen schwankenden Gang oder hoppeln bei schneller Gangart. Bei Beugung und Streckung der Hftgelenke reagieren die Hunde unwillig oder jaulen auf. Bei der Bewegung der Hftgelenke ist teilweise ein Knacken zu hren. Zweifellos leiden alle dysplastischen Patienten unter einem stndigen Hftschmerz, der auf der chronischen Zerrung und berdehnung der Gelenkkapsel beruht.

HD Diagnostik - wann?

Schon bei der leisesten Aufflligkeit sollte man keine wertvolle Zeit verstreichen lassen. Das fr eine erfolgreiche Korrektur zur Verfgung stehende Zeitfenster ist begrenzt. Auf keinem Fall bis zu einem Alter von 1 Jahr warten! Die Hftgelenke mssen unverzglich gerntgt werden (am besten unter der gut steuerbaren Propofol-Kurznarkose).

HD Diagnostik - die Kriterien

- Lockerheit der Hftgelenke
- Distraktionsindex (PennHIP Rntgen)
- Tiefe der Hftgelenkspfanne (Acetabulum)
- Gre der Tragezone des Oberschenkelkopfes
- Winkelung des Oberschenkelhalses
- Alter des Hundes

Verstndnis der dysplastischen Entwicklung

Die HD ist eine dynamische Fehlentwicklung und Fehlstellung von Kopf und Pfanne solange der Hund wchst. Es ist oft erschreckend, wie sehr sich die Situation innerhalb weniger Wochen verschlimmern kann. Unkorrigiert mnden solche Gelenke im Laufe der Zeit schicksalhaft in eine Arthrose. Entscheidend sind Stellung der Pfanne und Lockerheit des Gelenkes. Oft nicht beachtet: fr eine gesunde Entwicklung muss eine feste Druckbeziehung zwischen Kopf und Pfanne bestehen. Ist sie unzureichend, wird die Pfanne im Laufe des weiteren Wachstums immer flacher, der Hals steht immer steiler und die Kapsel mehr und mehr berdehnt. Deshalb ist das weitere Abwarten fatal und mndet in eine flache Hftpfanne und Luxation des Kopfes.

Oft vergessen: die Tragezone des Oberschenkelkopfes

Beim dysplastischen Gelenk ist die Tragezone des Oberschenkelkopfes dramatisch reduziert. Als Folge kommt es zu einer Druckberlastung und erhhtem Verschlei des Knorpels, da das Krpergewicht auf einer kleineren Flche getragen werden muss. Durch die Korrektur der Pfannenfehlstellung wird die Tragezone signifikant vergrert, die Druckbelastung normalisiert sich und der strapazierte Knorpel kann sich regenerieren. Der Verschlei des Hftgelenkes wird gestoppt.

Nach der HD Diagnose: Medikamente und warten auf eine Hftprothese?

Besser nicht! Die Gelenkpfanne wird immer flacher. Es heit handeln, um die krpereigenen  Hftgelenke des Patienten zu retten. Wenn dysplastische Hftgelenke bei einem Hund erfolgreich korrigiert werden knnen und eine schmerzfreie Aktivitt ein Leben lang erlauben, ist das Warten auf eine Prothese sehr fragwrdig. Der Patient hat Schmerzen und qult sich, wenn die Hftgelenke einem permanenten Verschlei ausgesetzt werden. Die Lebensqualitt und Lebensfreude sind drastische eingeschrnkt. Eine stndige Schmerzmittelgabe ist nicht gerade gesundheitsfrdernd. Schlielich belieb fr das zerstrte Gelenk nur eine Hftprothese oder Oberschenkelkopf-Hals Amputation mit bekannten Risiken.
Leider ist das Abwarten aber immer noch gngige Praxis und wird vielfach (wider besseres Wissen?) empfohlen. Die dysplastischen Patienten sollen nmlich spter mit Hftprothesen versorgt werden. Dass es anders geht, beweisen mehrere tausend Patienten, bei denen in unserer Praxis in den letzten Jahrzehnten die dysplastischen Gelenke erfolgreich korrigiert wurden. Die Hunde bleiben in der Regel lebenslang schmerzfrei, bewegungsaktiv und ohne Einschrnkungen belastbar. Die Zufriedenheit der Tierbesitzer ist auergewhnlich hoch.

Was passiert, wenn man bei HD zu lange wartet?

Beim Zuwarten kann sich die Hftsituation innerhalb weniger Wochen dramatisch verschlechtern (z. B. Luxationen, flache Pfanne, Deformation des Kopfes, irreversible Knorpelschden). Dann helfen in der Tat nur noch ein Gelenkersatz oder die Oberschenkelkopf-Hals-Amputation (Femurkopfresektion).

Was tun bei HD? Korrektur durch die dreifache Beckenumstellung

Mit der Dreifachen Beckenosteotomie (DBO, engl. TPO) wurde in Anlehnung an die Korrekturverfahren dysplastischer Hftgelenke in der Humanmedizin eine neue ra in der Behandlung der HD des Hundes eingeleitet. Das dysplastische Beckensegment wird durch drei Einschnitte in den Beckenring freigestellt und so weit rotiert, dass das die Pfanne dem Oberschenkelkopf wieder festen Halt gibt. Die Korrekturstellung wird mit einer Stufenplatte und Spezialschrauben fixiert. Nach der Operation kann der Hund sofort wieder laufen. Die DBO ist die einzige Methode, mit der die mangelnde berdachung des Kopfes und der Steilstand der Pfanne beseitigt werden knnen. Das Hftgelenk hat nun festen Halt und die Schmerzen sind weg.

Zweifache- oder Dreifache-Beckenosteotomie?

Die von Vezzoni (2006) empfohlene Zweifache-Beckenosteotomie (DPO) verzichtet auf die Durchtrennung des Sitzbeines. Bei der Umstellung des Beckensegmentes treten dann aber zwangslufig starke Biegespannungen auf, die von der Platte und den Schrauben   kompensiert werden mssen. Den angeblichen Vorteilen der zweifachen Beckenosteotomie stehen nach unseren  Beobachtungen gravierende Nachteile gegenber. Es gibt eine hohe Komplikationsrate in Form von Schraubenlockerungen oder Knochenausriss. Zudem sind nur geringe Korrekturwinkel mglich. Die Dreifache-Beckenosteotomie ist stabiler, belastbarer, erlaubt individuell angepasste Korrekturwinkel von 20 bis 40. Sie ist selbst bei lteren Hunden noch erfolgreich mglich.

Die Palliativmethoden und HD

Palliativmethoden wie z. B. Goldimplantation, Kapselraffung, Nerven- oder Muskelschnitte knnen die dysplastische Fehlstellung des Hftgelenkes nicht beseitigen. Sie ignorieren die Anatomie, die Gelenke bleiben locker. Der Verschlei geht weiter und weiter - am Ende sind Knorpel und Gelenk zerstrt. Palliativmethoden sind deshalb bei jngeren Hunden weder sinnvoll noch hilfreich hinsichtlich einer Gelenkrettung. Man kann sie nur bei alten Hunden verantworten.

Die Beckenumstellung DBO trotz Arthrose?

Hufig wird vorgetragen, eine Beckenumstellung sei nicht mglich, weil rntgenologisch eine  Arthrose zu sehen sei. Unsere Erfahrung zeigt, dass dieses Dogma nicht haltbar ist. Bei eine individuelle Betrachtung des Gelenk- und Knorpelstatus kann vielen Patienten mit Arthrose dennoch geholfen werden. Die Entscheidung pro oder kontra DBO hngt vom Zustand des Knorpels ab. Dieser ist rntgenologisch nicht sichtbar. Viele Hftgelenke besitzen trotz arthrotischen Vernderungen einen durchaus erhaltenswerten Knorpelberzug, der durch die Vergrerung der Tragezone sich erholt und eine lebenslange Belastbarkeit sowie Schmerzfreiheit ermglicht.

DBO und Arthrose: die Lsung heit Arthroskopie des Hftgelenkes

Im Rntgenbild lsst sich der Gelenkknorpel nicht darstellen. Deshalb sagt das Rntgenbild nichts ber seinen Zustand und seine Qualitt aus. Eine Tatsache, die leider stndig unbercksichtigt bleibt. Eine zuverlssige  Beurteilung der Knorpel von Oberschenkelkopf und Pfanne ist nur durch die Arthroskopie des Hftgelenkes mglich. Es kann nicht nur die Knorpelfestigkeit, sondern auch der Zustand des so wichtigen oberen Pfannenrandes gesehen und abgetastet werden. Sind die Strukturen in Ordnung, so ist  eine DBO gut mglich.

Beckenumstellung trotz Subluxation oder Luxation der Hfte?

Bei Junghunden kann die HD mit einer besorgniserregend aussehenden Luxation des Oberschenkelkopfes einhergehen. Der enge Kontakt zur Pfanne ist schon lange nicht mehr gegeben und dadurch eskaliert die ungnstige anatomische Situation sehr schnell. Nach unserer Erfahrung ist in nicht wenigen hoffnungslosen“ Fllen eine Rettung des Hftgelenkes durch DBO und einer besonderen Untersttzungsplastik mglich. Damit wird der lockere Oberschenkelkopf im Gelenk gehalten und durch den formativen Reiz entwickelt sich in Folge eine gesunde Gelenkkonfiguration.

DBO - die Operation

Unsere Operationstechnik sowie die Implantate haben mit dem von Slocum (1986) beschriebenen Verfahren nur noch das Prinzip gemein. Die Technik und Implantate wurden unter Bercksichtigung jahrzehntelanger Erfahrungen von uns permanent weiterentwickelt und perfektioniert. Dabei standen gewebeschonendes Operieren, die sofortige hohe postoperative Belastbarkeit und die Minimierung von mglichen Komplikationen im Vordergrund. So verfgen wir heute ber die verschiedensten Implantate, sodass bei Hunden von 5 bis 80 kg eine sichere DBO durchgefhrt werden kann.

DBO - Risiken der Operation

Die Dreifache- Beckenosteotomie eine komplexe und schwierige Operation, die drei verschiedene Zugnge zum Becken erfordert. Gewebeschonendes Vorgehen ist unverzichtbar, um die im Operationsgebiet liegenden Muskeln, Gefe und Nerven nicht zu verletzen; andernfalls knnten fatale Blutungen, Nervenlhmungen, Muskel- und Knochenschden auftreten. Der Operateur sollte nicht nur ber eine groe Erfahrung verfgen, sondern auch die DBO regelmig durchfhren. In unserer Praxis werden jhrlich ber 200 DBO Operationen durchgefhrt.

Was folgt nach der Operation?

Die DBO Operation wird von uns ambulant durchgefhrt. Wenige Stunden nach dem Eingriff knnen die Patienten entlassen werden. Besonders wichtig ist ein zuverlssiger Leckschutz bis zum Fdenziehen und die Regulierung der Aktivitt des Hundes. Besonders in den ersten 4 Wochen, bis die Knochen zusammengewachsen sind. Die Medikation besteht aus Antibiotika und der Gabe von Schmerzmedikamenten. Verbnde sind nicht erforderlich, unsere DBO Hunde drfen und sollen sofort an der Leine bewegt werden.

Die Rolle der Haustierrzte

Die Haustierrzte werden bei der Nachsorge und Rehabilitation mit eingebunden. Sie erhalten den ausfhrlichen Operationsbericht, Rntgenbilder und Tipps, sodass die Nachbehandlung vor Ort kein Problem darstellt. Wir stehen zudem whrend der Rehaphase jederzeit mit Rat und Tat zur Seite.

Die Rehabilitationsphase - was darf der Hund?

Unsere DBO Hunde drfen sich normal bewegen. Springen, Spielen mit anderen Hunden oder das berwinden von Treppen sind aber verboten. Bei lebhaften Hunden wird von uns Trazodon ber 4 bis 6 Wochen verordnet. Dadurch umgeht man die problematische Gabe der blichen Beruhigungsmittel (Acepromazin). Bei hemmungsloser mechanischer berbelastung kann es im schlimmsten Fall zu einer Schraubenlockerung und Nachoperation kommen. Es ist immer zu bedenken, dass der junge Knochen noch relativ weich ist.

Mssen die Implantate entfernt werden?

Wir verwenden Platten und Schrauben aus Titan. Diese sind beraus krpervertrglich und  mssen nicht entfernt werden. Die gefrchteten Implantatallergien und Infektionen auf der Implantatoberflche gehren damit der Vergangenheit an.

Beidseitige HD - wann wird die 2. Seite operiert?

Beidseitige DBO-Operationen in einer Sitzung haben sich nicht bewhrt. Sie sind zu belastend und statistisch steigt die Komplikationsrate steil an. Zuerst wird deshalb das am strksten betroffene Gelenk operiert. Nach 3 - 4 Wochen kann dann die andere Hfte operiert werden.

Rntgenkontrolle

Nach sechs Wochen soll eine Kontrollrntgenaufnahme das Zusammenwachsen der Beckenknochen und die erfolgreiche Korrektur der Fehlstellung dokumentieren. Danach darf sich der Hund wieder frei bewegen. Die Belastung sollte im Sinne eines Aufbautrainings gestaltet werden. Physiotherapie und Schwimmen untersttzen einen raschen Muskelaufbau.

Fazit

Die Dreifache-Beckenosteotomie (DBO) ist eine erfolgreiche Methode, um dysplastische Hftgelenke zu retten und lebenslange Funktionalitt, Belastbarkeit und Schmerzfreiheit des Hundes zu gewhrleisten. Der Einsatz einer Hftprothese ist deshalb beim dysplastischen jngeren Hund nicht notwendig und kritisch zu hinterfragen. Die DBO korrigiert die anatomische Fehlstellung der Beckenpfanne, fhrt zu einer festen berdachung des Oberschenkelkopfes und vergrert die Knorpel-Tragezone. Sie verhindert damit sptere Knorpelschden und eine arthrotische Gelenkzerstrung. Die Tierbesitzer sind mit den Langzeitergebnissen der DBO sehr zufrieden.

HD Therapie mit der DBO / TPO PDF-Version

© Dr. Dieter Mller
Fachtierarzt fr Kleintiere, Teilgebiet Chirurgie, Augenheilkunde
Kempener Str. 59
D 52525 Heinsberg
E-Mail: [email protected]
www.mueller-heinsberg.de
Tel. +49-2452-21870

Beidseitige schwere HD beim Junghund

Beidseitige schwere HD mit Herausgleiten der Oberschenkelkpfe (Alter 10 Monate)

berdachung der Oberschenkelkpfe DAR View

berdachung der Oberschenkelkpfe durch den oberen Pfannenrand (Pfeile)

HD im PennHIP Rntgen

Lockerheit der Hftgelenke dargestellt in der PennHip Technik

PennHIP Rntgen Distraktionsindex bei HD

Distraktionsindex im PennHip Rntgen als Kriterium der Gelenkfestigkeit

Knorpeltragezone bei HD ist reduziert

Reduzierte Knorpel-Tragezone beim dysplastischen Gelenk

Knorpeltragezone einer gesunden Hfte bei Hund

Die Knorpeltragezone am gesunden Hftgelenk umfasst den ganzen Oberschenkelkopf

HD mit Luxation der Oberschenkelkpfe

HD mit Subluxation und Luxation des Oberschenkelkopfes

DBO operiertes und nicht operiertes Gelenk

Zuerst wird das am strksten betroffene Gelenk operiert

Ergebnis nach beidseitger DBO Operation

Endergebnis nach beidseitiger DBO. In der Regel mssen die Implantate aus Titan nicht entfernt werden

DBO Platte und Schrauben Knochenmodell

Winkelstabile DBO in Titanausfhrung am Knochenmodell

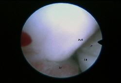
Arthroskopie Hftgelenk Hund

Arthroskopie des Hftgelenkes: vorderer Rand der Pfanne (Ac) und Oberschenkelkopf (FK) mit Anheftungen der Schleimhaut (Sy)

Arthroskopie Hftgelenk oberer Pfannenrand

Arthroskopie Hftgelenk: Oberer Pfannenrand (AcR), Anheftung der Kapselschleimhaut (Sy), Oberschenkelkopf (FK) und Band (LT)

HD bei groem Rassehund

Dysplastisches Hftgelenk bei einem schweren und groem Hund vor der DBO

HD und DBO bei groem Rassehund Ausheilungsergebnis

Rntgenkontrolle: DBO mit krpervertrglichen Titanimplantaten

DBO bei HD Hunden lebenslang voll belastbar

Nach der Ausheilung der DBO kann das Hundeleben in vollen Zgen genossen werden. Alles, was Spa macht ist erlaubt.


[ Startseite ] [ Presse ] [ wir ber uns ] [ Leistungsangebot ] [ HD Hftgelenkdysplasie ] [HD Therapie DBO/TPO] [ HD Definition ] [ HD Vor-Rntgen ] [ HD DBO Junghund ] [ HD DBO ] [ HD Pfannendachplastik ] [ Patientenberichte ] [ Video HD und DBO ] [ RTL Video HD und DBO ] [ HD Rntgen PennHIP ] [ TTA Kreuzbandriss ] [ Endoskopische Kastration ] [ Ellbogendysplasie PAUL ] [ Infos fr Tierbesitzer ] [ Infos fr Tierrzte ] [ Landeshundegesetz ] [ Preisauskunft GOT ] [ EU Heimtierausweis ] [ Notfall ] [ Impfempfehlungen ] [ Narkose ] [ berweisung ] [ Wegbeschreibung ] [ Praxisbroschre ] [ Zahlungsmglichkeiten ] [ Impressum + Kontakt ]