Praxislogo Homepage

HD DBO Junghund

Dr. Dieter Müller
FTA für Kleintiere, Chirurgie, Augenheilkunde

PDF Version: Dreifache Beckenosteotomie (DBO) zur Therapie der Hüftgelenksdysplasie des Junghundes (444KB )

Dreifache Beckenosteotomie (DBO) zur Therapie der Hüftgelenksdysplasie des Junghundes

Dieter Müller

In Kürze
Die Dreifache Beckenosteotomie (DBO, engl. Tripple Pelvic Osteotomy [TPO]) ist ein chirurgisches Verfahren zur Behandlung der juvenilen Hüftgelenksdysplasie. Dabei werden das Os ilium, Os ischium und Os pubis durchtrennt, sodass der Bereich des Acetabulum um einen vorbestimmten Winkel rotiert werden kann. Der Femurkopf ist damit besser vom dorsalen Acetabulumrand überdacht und erhält festen Halt in der Fossa acetabuli. Die Rotationsstellung wird durch eine Stufenplatte und stabile Osteosynthese fixiert. Die Kongruenz des Hüftgelenkes ist wieder hergestellt und die Überbelastung der Gelenkknorpel auf physiologische Werte zurückgeführt. Das Ziel der DBO ist darin zu sehen, die bei der HD vorliegende Lockerheit und Instabilität des Hüftgelenkes wirkungsvoll zu beseitigen und gleichzeitig eine anatomisch korrekte Überdachung des Femurkopfes zu erzielen. Damit kann das Fortschreiten der degenerativen Prozesse und arthrotischer Veränderungen am Hüftgelenk von dysplastischen Junghunden unterbunden werden. Die erzielbaren Ergebnisse der Dreifachen Beckenosteotomie wurden in experimentellen und klinischen Studien vielfach untersucht. Wenn der Eingriff korrekt und lege artis durchgeführt wird, ist er demnach höchst effektiv und allen anderen Verfahren vorzuziehen. Das Auftreten von Coxarthrose bei vormals dysplastischen Hunden kann verhindert werden, wenn auch in einigen besonders schweren Fällen nicht ganz vollständig. Das Ausmaß der Progression arthrotischer Veränderungen nach einer DBO hängt, neben der korrekten Indikationsstellung der Operation, besonders von der Erfahrung der Chirurgen ab. Die korrekte technische Durchführung, die Auswahl der adäquaten Implantate zur Fixation des rotierten Hüftsegments und eine möglichst atraumatische Operationstechnik sind entscheidend für den Operationserfolg. Zur objektiven Beratung der Tierbesitzer ist ein Verständnis über das Prinzip der Dreifachen Beckenosteotomie, deren Indikation und die zu erwartenden Operationsergebnisse erforderlich.

Indikationen für eine Dreifache Beckenosteotomie
Viele Welpen und Junghunde selbst mit schwereren Formen der Hüftgelenksdysplasie zeigen erstaunlicherweise bis zu einem Alter von 6 - 8 Monaten weder Lahmheit noch Schmerz bei der Bewegung. Die Beschwerden, die deren lockere, teilweise subluxierende oder luxierende Hüftgelenke auslösen, sind subtil und häufig vom Tierbesitzer nicht zu erkennen, da der direkte Vergleich mit unbelasteten Wurfgeschwistern meist fehlt. Aufmerksame Tierbesitzer notieren allenfalls einen unrunden, vielleicht schwankenden Bewegungsablauf.
Besonders häufig betroffen sind sogenannte „Risikorassen“ wie Rottweiler, Deutsche Schäferhunde, Labrador- und Golden Retriever. Dennoch kommen schwere dysplastische Veränderungen der Articulatio coxae auch bei kleinen Hunderassen und Mischlingen vor.
Ganz entscheidend für das weitere Leben, die Lebensqualität und Lebenserwartung des Junghundes ist die frühzeitige Diagnose einer HD bzw. deren Ausschluss. Die wichtigste Vorsorgeuntersuchung besteht in dem oft missverstandenen „Vor-Röntgen“ in einem Lebensalter von 5 bis 6 Monaten. Eine solche Untersuchung dient nicht so sehr der Selektion geeigneter Kandidaten für eine spätere Zuchtzwecke sondern dem Erkennen offensichtlicher dysplastischer lockerer Hüftgelenke. Die Lockerheit der Hüftgelenke ist neben der Integrität des dorsalen Randes des Acetabulums das entscheidende Kriterium für die spätere Ausbildung einer Coxarthrose.

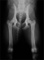
Vor-Röntgen Junghund
Abbildung 1 a: Vor-Röntgen beim Junghund. Die Hüftgelenke erscheinen stabil.

HD Röntgen Stresstechnik
Abbildung 1 b: Derselbe Hund in Stress-Technik. Luxation der lockeren Oberschenkelköpfe

Die Röntgendiagnostik muss grundsätzlich in tiefer Sedation und Muskelerschlaffung durchgeführt werden, da bei vorhandenem Muskeltonus oder Abwehrbewegungen des Patienten falsch negative Befunde erhoben werden können. Ortolani-, Penn- oder Flückiger Test sind verlässliche Untersuchungsmethoden, um eine Lockerheit des Gelenkes zu erkennen und das Ausmaß der Distraktion (Distraktionsindex) zu bestimmen (Abb. 1 a und 1 b).
Es besteht eine positive Relation zwischen dem Grad der Lockerheit des Hüftgelenkes und dem HD Grad. Die ventro-dorsale Standard-HD-Röntgenlagerung ist jedoch nicht in der Lage das Ausmaß der coxo-femoralen Lockerheit verlässlich zu demonstrieren. Diese Technik führt zu einer unnatürlichen Überstreckung des Hüftgelenkes und einer spiralartigen Anspannung der Gelenkkapsel. 50 % der Hüften, die bereits im Alter von 12 Monaten arthrotische Veränderungen zeigten, wurden beim Vor-Röntgen im Alter von 16 bis 18 Wochen als nicht-dysplastisch verändert bezeichnet – aufgrund dieser Tatsache.
Beim Vor-Röntgen der Hüftgelenke sollten zusätzliche Stress-Aufnahmen angefertigt werden, um eine eventuelle Lockerheit der Hüftgelenke nachweisen zu können. Für die Tierbesitzer demonstrieren sie sehr augenscheinlich das Vorliegen einer HD und deren Ausmaß. Die Stressaufnahmen ahmen die einwirkenden Kräfte nach, die sonst bei der Bewegung des Hundes auftreten. Bei Junghunden mit nachgewiesener Hüftgelenksdysplasie ist nahezu unmöglich vorherzusagen, welchen Grad von Coxarthrose und Schmerzsymptomatik sie später entwickeln. Die Klinik zeigt jedoch, dass die Wahrscheinlichkeit des Auftretens einer Gelenkpathologie mit dem Grad der Lockerheit zunimmt. Nur informierte Tierbesitzer können die Entscheidung treffen, welche Behandlungsoption für ihren Hund am besten geeignet ist. In der Literatur wird übereinstimmend die Meinung vertreten, dass die häufigste Indikation für die Dreifache Beckenosteotomie ein noch wachsender oder junger Hund sei, der keine oder nur geringe radiologische Veränderungen im Sinne einer Coxarthrose aufweise. Am häufigsten seien dabei große und mittelgroße Rasen bis unter die 20-kg-Grenze betroffen.

Kandidaten für eine Dreifache Beckenosteotomie (DBO)
Der typische hüftdysplastische Patient erfüllt die folgenden Kriterien:

  • normale Konstitution
  • positives Ortolani-Zeichen unter Muskelerschlaffung mit „Klick“ bei der Reduktion aus der subluxierten Stellung, welches eine intaktes dorsales Labrum am Azetabulum anzeigt
  • röntgenologisch nachgewiesene Hüftgelenksdysplasie mit keinen oder nur geringen Zeichen einer Coxarthrose

In den frühen Veröffentlichungen zur DBO wurde die Indikationsstellung sehr eng gefasst. Die idealen Operationskandidaten sollten keinerlei arthrotische Veränderungen zeigen, diese schlössen den Eingriff aus (Abb. 2 a und 2 b).

HD vor DBO Operation
Abbildung 2 a: Idealkandidat nach enggefasster Indikationsstellung präoperativ

HD nach DBO Operation
Abbildung 2 b: Der selbe Patient nach DBO. Die Spuren einer erfolglosen Goldakupunktur-Therapie sind zu erkennen.

Subluxierende und luxierende Oberschenkelköpfe
Die Autoren der Erstveröffentlichung sind davon ausgegangen, dass bei aus dem Gelenk luxierenden Oberschenkelköpfen die DBO nicht durchgeführt werden dürfe. Sie stelle vielmehr eine Kontraindikation dar. Klinische Erfahrungen mit solchen grenzwertigen Patienten zeigen jedoch, dass Junghunde selbst mit ausgeprägten Subluxationen sehr von der Umstellungsosteotomie profitieren können, weil sich die lockere Gelenkkapsel im postoperativen Verlauf retrahiert und das Gelenk schließlich stabil wird (Abb. 3 a und 3 b). Der Oberschenkelkopf wird zusätzlich mit einem Unterstützungsband (Meij-Technik, Abb. 4) in das rotierte Acetabulum hineingezogen. Zusätzlich hat sich der Einsatz der 40° Platte bewährt. Der im Hüftgelenk nun festen Halt findende Femurkopf übt zudem einen positiven formativen Reiz auf die noch wachsende Pfanne aus, den man als Spreizhosen-Effekt bezeichnet. Als Ergebnis sind stabile Gelenkverhältnisse zu erwarten.

HD luxierte Oberschenkelköpfe
Abbildung 3 a: Vollständig luxierende dysplastische Hüftgelenke

DBO bei luxierten Femurköpfen
Abbildung 3 b: Der selbe grenzwertige Patient nach DBO und Unterstützungsband nach Meij.

Unterstützungsband nach Meij bei DBO
Abbildung 4: Unterstützungsband nach Meij zur Verhinderung einer Luxatio femoris nach dorsal.

Kontraindikationen
Dass Hunde ab einem Lebensalter von 1,5 bis 2 Jahren oder solche mit starken arthrotischen Erscheinungen, wie z. B. Deformation des Caput ossis femoris oder Knorpeldefekten (Abb. 5), keine geeigneten Kandidaten sind, darüber besteht Konsens. Patienten mit neurologischen Defiziten scheiden ebenfalls aus.

HD  und Coxarthrose Knorpeldefekt
Abbildung 5: Erodierter Gelenkknorpel „Knorpelglatze“

Tierbesitzer und Diagnose „HD“
Für viele Tierbesitzer ist es ein schwerer Schock, wenn sie erfahren, dass ihr Hund an einer Hüftgelenksdysplasie leidet. Vielleicht haben sie viel Geld ausgegeben und einen Rassehund mit Papieren gekauft, auf denen testiert wurde, dass die Eltern und Vorfahren „HD-frei“ seien. Dem Diagnose-Schock folgen häufig selbstpeinigende Vorwürfe, bei Aufzucht und Fütterung etwas falsch gemacht oder den Hund zu früh und zu intensiv belastet zu haben. In diesem Zusammenhang wird z. B. immer wieder das Treppensteigen genannt. Selbstkritisch müssen wir Tierärzte uns fragen, ob wir immer sensibel und objektiv genug mit der Diagnose HD umgehen. Gar nicht so selten wird sogar empfohlen, an eine Euthanasie des Patienten zu denken, um unausweichliche weitere Leiden zu ersparen. Ist die Diagnose HD gestellt, kommt es auf eine fundierte Aufklärung und Beratung seitens der Haustierärztin oder des Haustierarztes an. Es ist sicher kein Eingeständnis mangelnden fachlichen Wissens und Könnens, wenn man anbietet, die Aufnahmen an einen Spezialisten einzuschicken. Man sollte sich vor Augen halten, dass es für die Tierbesitzer emotional direkt um Leben oder Tod eines lieb gewonnenen vierbeinigen Familienmitgliedes geht.
Wir erklären den Patientenbesitzern, dass die Diagnose HD unbehandelt die Gebrauchsfähigkeit und Lebensqualität des Hundes massiv beeinträchtigen wird – ein ganzes Hundeleben lang. Allerdings liege beim Junghund zunächst „nur“ ein nicht kongruentes Hüftgelenk vor. Der Gelenkknorpel sei auch bei schwer dysplastischen Gelenken noch nicht beschädigt. Die Gelenkkapsel, die bei Gesunden den Femurkopf fest umschließe, sei überdehnt und locker. Durch die pathologischen Bewegungen des Kopfes komme es zu einem starken Verschleiß und Abnutzung des Knorpelüberzuges, was unweigerlich in eine Arthrose münde. Die ständigen Überbelastungen und Zerrungen der Gelenkkapsel seien sehr schmerzhaft, auch wenn der Hund das anfangs nicht zeige.
Tierbesitzer, die sich über die zur Verfügung stehenden Behandlungsoptionen immer auch außerhalb der Meinung ihres Tierarztes informieren, sind von der Unterschiedlichkeit und Vielfalt der Methoden stark verunsichert: So werden z. B. Nervenschnitte (Neurektomien), Goldimplantationen, Muskelschnitte (Pektineus-Myotomie) oder kombinierte Verfahren aus Neurektomie und Muskelschnitten (Pektineus-Iliopsoas-Neurektomie, PIN), Femurkopf-Hals-Resektionen oder der Gelenkersatz mit einer Endoprothese empfohlen. Wie sollen die Tierbesitzer ihre Entscheidung fällen?
Leider bleibt in diesem Zusammenhang die Dreifache Beckenosteotomie häufig ungenannt. Es soll an dieser Stelle nicht in einen Expertenstreit über die unterschiedlichen Therapieformen eingetreten sondern zum Nachdenken angeregt werden. Bei der HD handelt es sich klinisch gesehen um einen biomechanischen und anatomischen Problemkreis, bei dem die Dimensionen und Stellungen von Kopf und Pfanne nicht zusammenpassen. Vor diesem Hintergrund sollte schon die Frage erlaubt sein, ob Nervenschnitte, Goldimplantationen oder Myektomien die nicht physiologischen anatomischen Verhältnisse am Hüftgelenkes verändern können. Sie gewähren im besten Falle eine zeitlich begrenzte Schmerzlinderung. Die Verschleißprozesse durch Instabilität gehen weiter.
Die Femurkopfresektion beseitigt den lockeren Oberschenkelkopf, anschließend muss das Körpergewicht durch Muskelgruppen aufgefangen und getragen werden. Ein Eingriff, der nur bei leichtgewichtigen kleinen Patienten wirklich zufriedenstellend ist. Bei großen Hunden kommt es fast immer zu einem humpelnden Gang und Oberschenkelhochstand. Der Ersatz des dysplastischen und arthrotischen schmerzenden Gelenks durch eine Totalendoprothese ist bei älteren Hunden unbestritten ein bewährtes und erfolgreiches Verfahren. Bei dysplastischen sich noch im Wachstum befindenden Junghunden ist der Hüftgelenksersatz nicht möglich. Soll man bei einem Junghund mit diagnostizierter HD tatsächlich die Gelenkpathologie weiter ablaufen lassen, bis die Altersgrenze von einem Jahr erreicht ist, oder das Hüftgelenk hochgradig arthrotisch ist, um dann eine Prothese zu implantieren? Soll man einem 6 Monate alten Junghund, der an instabilen Hüftgelenken leidet und sich atypisch bewegt, weitere 6 Monate lang nicht-steroidale Antiphlogistika geben bis zum Gelenkersatz? Oder macht es vielleicht mehr Sinn, das körpereigene Hüftgelenk durch die Dreifache Beckenosteotomie zu stabilisieren, damit es als saniertes biologisches Gelenk lebenslang ohne Medikamentengabe klaglos funktioniert? Wobei noch darauf hinzuweisen wäre, dass sich die operierten Patienten nach Durchbauen der Osteotomiestellen ohne Einschränkungen bewegen dürfen.

Dreifache Beckenosteotomie (DBO)
Bei der DBO wird die Hüftgelenkspfanne über dem Oberschenkelkopf (meist um 30°) rotiert, um eine bessere Kongruenz des Hüftgelenkes zu erreichen und die Überdachung des Kopfes durch die Facies lunata zu verbessern. Die tragende Knorpeloberfläche wird dabei um das Drei- bis Vierfache vergrößert. Um die Rotation zu ermöglichen, müssen das Os pubis, Os ischium und Os ilium osteotomiert werden (Abb. 6).

DBO Osteotomielinien
Abbildung 6: Osteotomielinien bei der Dreifachen Beckenosteotomie

Nach der Osteotomie kann das Acetabulum mit den Segmenten des Os ilium und Os ischium um den vorbestimmten Winkel rotiert werden (Abb. 7 und 8).

DBO Rotation um 30°
Abbildung 7: Optimierte Überdachung nach Rotation um 30°

DBO am Knochenmodell
Abbildung 8: Ergebnis der Dreifachen Beckenosteotomie am Knochenmodell

Die belastungsstabile Fixation erfolgt durch eine Osteosynthese mit einer Stufenpaltte (Abb. 9) im Bereich des Os ilium.

DBO Platte nach Slocum
Abbildung 9: Original DBO Platte von Slocum

Die übrigen Osteotomiestellen bleiben offen. Der Hund wird großzügig im Bereich des Os ilium, Os ischium und Os pubis für den Eingriff geschoren und die Haut aseptisch vorbereitet.

Osteotomie des Os pubis
Der Hund wird in Rückenlage fixiert und im Bereich des Ursprungs des M. pectineus eine ca. 6 cm lange Hautinzision angelegt. Das subkutane Gewebe wird sorgfältig präpariert und die Eminentia iliopectinea isoliert. Auf die bisweilen empfohlene Tenotomie der Ursprungssehne des M. pectineus verzichtet der Autor, weil dieser Muskel funktional eine wichtiger Beuger, Adduktor und Supinator der Articulatio coxae ist. Nach dessen operativer Durchtrennung (nicht nur im Rahmen einer DBO) nimmt die Lockerheit des Hüftgelenkes deutlich zu: Der Oberschenkelkopf ist beim postoperativen Röntgen in ausgeprägt subluxierter Stellung zu sehen (Abb. 10 a und 10 b).

HD Subluxation beim Junghund
Abbildung 10 a: Dysplasie und Subluxation bei einem Junghund.

HD Subluxation beim Junghund nach DBO
Abbildung 10 b: Derselbe Hund nach DBO mit Pektineus-Myotomie. Der Oberschenkelkopf ist postoperativ nicht stabil.

Der kraniale Rand des Os pubis (Pecten ossis pubis) wird dargestellt und im zweiten Schritt das Schambein subperiostal nach kranial, kaudal und lateral frei präpariert. Zwei Hohmann-Hebel einer kranial des Os pubis und der Zweite kaudal davon im Foramen obturatum schützen die umgebenden Gewebeteile, Nerven und Gefäße. Die Osteotomie des Os pubis erfolgt möglichst dicht an der medialen Wand des Azetabulum im Corpus ossis pubis. Alternativ kann ein etwa 2 cm großes Knochensegment entfernt werden. Der Wundverschluss erfolgt routinemäßig.

Osteotomie des Os ischium
Der Hund wird in lateraler Seitenlage so positioniert, dass das Tuber ischiadicum und der Arcus ischiadicus gut erreicht werden können. Der Hautschnitt erfolgt horizontal direkt über dem Tuber ischiadicum, ca. 3 cm medial der Tuberositas ischiadica beginnend. Die subkutanen Schichten und die tiefe Faszie werden durchtrennt. Der M. obturator internus und M. obturator externus werden subperiostal mit Raspatorien atraumatisch abgehoben. Die Osteotomie startet vom Foramen obturatum aus, dabei muss eine fehlgerichtete Osteotomie in Richtung Azetabulum unbedingt vermieden werden. Die faserigen Ansätze des M. semitendinosus und M. semimembranosus werden geschont. Dies gewährleistet eine gewisse Reststabilität der zweiten Osteotomiestelle; eine Cerclagefixation des Ischiumbodens (Tabula ischiadica) ist entbehrlich. Der Wundverschluss umfasst lediglich die Faszien mit anschleißender Hautnaht. Bei schonendem atraumatischem Vorgehen treten so gut wie keine Blutungen auf.

Osteotomie des Os ilium
Der dritte Schritt beinhaltet die Osteotomie des Os ilium, um eine axiale Rotation des Acetabulum zu ermöglichen. Der Zugang erfolgt mit lateralem Hautschnitt direkt über dem Os Ilium. Der M. gluteus wird samt seiner Faszie in Längsrichtung eingeschnitten. Das muskuläre Septum zwischen dem M. tensor fasciae latae und dem M. gluteus superficialis wird durchtrennt. Nach kranial werden der M. gluteus medius und der lange Ansatz des M. tensor fasciae lata scharf durchtrennt. Der M. gluteus profundus und medius werden vom Os ischium mit dem Raspatorium abgelöst und nach dorsal weggehalten. Die A. glutea cranialis mit begeitendem Nerv sollte möglichst geschont werden; allerdings hat deren Ligatur und Durchtrennung keine negativen Folgen. Die Osteotomie erfolgt direkt kaudal der iliosakralen Symphyse senkrecht zur Achse des Beckens mit einer oszillierenden Säge. Der medial des Darmbeins verlaufende N. ischiadicus darf dabei unter keinen Umständen geschädigt werden.

Verplattung des Os ilium
Das Acetabulum-Segmentes wird mit einer kräftigen Knochenhaltezange rotiert und in Position gehalten. Nach Anpassen der geeigneten Stufenpaltte werden zuerst die drei kaudalen Plattenlöcher mit Schrauben versehen. Die kranial gelegenen Löcher schließen sich im zweiten Schritt an. Bei der Slocum-Platte wird dabei zuerst das untere Gleitloch unter Kompression besetzt. Die Schrauben sollten idealerweise bis in das Os sacrum reichen, ohne jedoch den Rückenmarkskanal zu penetrieren oder die Ausläufer der Cauda equina zu verletzen. Der Wundverschluss erfolgt in mehreren Schichten. Die Muskelbäuche können fortlaufend adaptiert werden. Besonders wichtig ist bei adipösen Patienten, dass im subkutanen Fettgewebe keine Hohlräume verbleiben, um einer Serombildung vorzubeugen.

Komplikationen
Komplikationen des anspruchsvollen Eingriffs DBO aufgrund von technischen Operationsfehlern umfassen Blutungen, Muskelschäden, Nervenlähmungen und schwere bis persistierende Lahmheiten. Sie sollten bei geschulten und erfahrenen Chirurgen so gut wie ausgeschlossen sein. Die in praxi am häufigsten gesehene Komplikation stellt die Lockerung bzw. der Ausriss der Schrauben aus dem Knochen dar (Abb. 11), weil der juvenile Knochen noch nicht so fest wie beim ausgewachsenen Patienten ist. Zudem laufen die vollen Kräfte der Lokomotion über Schrauben und Platte. Die Verwendung von Spongiosaschrauben und das Vermeiden von unkontrollierter Bewegung (Toben, Spielen mit anderen Hunden) in den ersten 8 postoperativen Wochen verhindern die Schraubenlockerung sehr zuverlässig.

DBO Komplikation Schraubenlockerung
Abbildung 11: Schraubenlockerung aufgrund von mangelnder postoperativer Schonung. Plötzliche heftige Abduktionen des Hüftgelenkes sind risikobehaftet.

Postoperative Nachsorge
Es besteht keine Notwendigkeit von postoperativen Verbänden. Allerdings ist ein Belecken der Wunden ggf. durch Anlegen eines Halskragens zu verhindern. Unmittelbar postoperativ werden, solange sich der Patient noch in Anästhesie befindet, Kontroll-Röntgenaufnahmen angefertigt (Abb 12 und 13). Die deutliche Verbesserung der dorsalen Überdachung des Oberschenkelkopfes kann sofort gesehen werden. Die Lage des Implantates und der Schrauben werden kontrolliert.

DBO Röntgen präoperativ
Abbildung 12: Röntgen - präoperativ

DBO Röntgen postoperativ
Abbildung 13: Postoperative Röntgenkontrolle

In den Fällen einer extremen Lockerheit der Hüftgelenke kann die Verbesserung der Abdeckung durch den dorsalen Rand des Acetabulums zunächst enttäuschend erscheinen (Abb 14 a, 14 b und 14 c) und ein gewisser Grad an Subluxation noch erkennbar sein. Diese Befunde verschwinden jedoch innerhalb weniger Wochen unter Belastung des Gelenkes, ohne besondere Maßnahmen zu erfordern.

HD vollständige Luxation
Abbildung 14 a: Extreme Lockerheit und Luxation der Articulatio coxae

schwere HD mit Luxation nach DBO
Abbildung 14 b: Bei gestreckten Hüftgelenken erscheint die Hüfte gut stabilisiert.

schwere HD mit Luxation nach DBO
Abbildung 14 c: In der Beugestellung zeigt sich eine enttäuschende Lockerheit

Bei entsprechender Narkosetechnik und sorgfältigem Schmerzmanagement ist eine ambulante Durchführung der DBO möglich und empfehlenswert, da sich die Hunde in der gewohnten häuslichen Umgebung ruhiger verhalten und weniger Stress entsteht als bei einer stationären Aufnahme.
Die Nachbehandlung kann problemlos bei den Haustierärzten erfolgen und umfasst neben einer routinemäßigen Antibiose die Gabe von NSAIDs über einen Zeitraum von 2 – 3 Wochen.
Bereits am ersten postoperativen Tag sind die Hunde in der Regel in der Lage selbstständig aufzustehen und an der Leine zu laufen. Die operierte Gliedmaße wird dabei häufig bereits belastet. Die Wunden werden kontrolliert und die Körpertemperatur gemessen. Sollte ein Hund wieder Erwarten nicht laufen wollen, wird er aufgestellt und zur Bewegung animiert. Ein unter dem Abdomen hindurchgeführtes Handtuch kann Hilfestellung geben. Wenn die Hunde bemerken, dass sie stehen können, fassen sie Selbstvertrauen und laufen von selbst. Neurologische Defizite (Parese, Propriozeption), die nach 24 bis 48 Stunden noch bestehen, deuten auf schwere Komplikationen hin.
Die Tierbesitzer sind ausdrücklich auf die Gefahr einer Implantatlockerung durch eine plötzliche Abduktionen des Hüftgelenkes hinzuweisen (rutschige Oberflächen, Treppensteigen, Spielen mit anderen Hunden).
Sollte es unmöglich erscheinen, die Aktivität des Hundes postoperativ wirkungsvoll einzuschränken, müssen Sedativa (Diazepam, Acepromazin) gegeben werden. Die Nachuntersuchungen erfolgen nach 2 Wochen, 6 Wochen und 6 Monaten. Sollte der Verdacht bestehen, dass sich die Implantate gelockert haben, so kann die Bewegung der Iliumsegmente rektal gefühlt und röntgenologisch nachgewiesen werden. Außerdem hört man in diesen Fällen deutliche knackende Geräusche.

Verlauf
Bei den 14 Tage postoperativ durchgeführten Untersuchungen können bei den Hunden noch unterschiedlich stark ausgeprägte Lahmheiten vorhanden sein. Gewöhnlich zeigt sich aber bereits zu diesem Zeitpunkt eine zunehmende Belastung der operierten Gliedmaße.
Sechs Wochen postoperativ wird der Hund erneut einer Lahmheitsuntersuchung unterzogen und das Fortschreiten der knöchernen Fusion durch eine Röntgenuntersuchung in tiefer Sedation beurteilt. Gegebenenfalls wird zu diesem Zeitpunkt die zweite Seite operiert (Abb 15). Es zeigt sich in der Regel eine deutliche Kallusbildung an der Osteotomiestelle des Os ilium. Die Manipulation der Articulatio coxae sollte einen guten Grad von Beweglichkeit ergeben. In den besonderen Fällen, bei denen eine 40°-Platte eingesetzt wurde, kann die Abduktion und Extension des Hüftgelenkes ein wenig eingeschränkt sein. Ab Woche 6 sollte mit einem aktiven aufbauenden Bewegungstraining begonnen werden. Auf den besonderen Wert eine Physiotherapie braucht nicht hingewiesen zu werden.

DBO Kontrollröntgen nach 6 Monaten
Abbildung 15: Kontrolle nach 6 Wochen zeigt die Fusion des Os ilium auf der linken Bildseite. Die zweite Seite ist frisch umgestellt.

Nach sechs Monaten kann der Hund uneingeschränkt belastet werden, die volle Funktion und Belastbarkeit des Hüftgelenkes ist nun erreicht. Die Aktivität des Hundes sollte sich als völlig normal erweisen. Die Tierbesitzer berichten häufig, dass sich das Temperament und die Lebensfreunde der operierten Hunde dramatisch verbessert haben. Die Palpation unter Anästhesie zeigt absolut stabile Gelenksverhältnisse, d. h., es sind keine Winkel von Luxation oder Reluxation oder ein Ortolani-Zeichen zu verzeichnen, der Femurkopf sitzt tief im Acetabulum.
Im jährlichen Abstand werden die Beweglichkeit des Hüftgelenkes, der Muskeltonus und Umfang sowie die röntgenologischen Verhältnisse untersucht. In der Regel wird die Platte nicht entfernt.

Ergebnisse
Die guten Ergebnisse nach einer Dreifachen Beckenosteotomie beruhen auf der Herabsetzung des Druckes auf die Knorpeloberflächen der Articulatio coxae durch eine signifikante Vergrößerung der in Kontakt stehenden Gelenkflächen. Der Oberschenkelkopf wird zudem besser überdacht und stabilisiert. Es gibt sehr viele Studien über die Langzeitergebnisse der DBO in der internationalen Literatur. Bei 92 % der Patienten ist nach 7 Monaten keine Lahmheit mehr festzustellen. Im Gegensatz hierzu verbesserte sich kein einziger Hund aus nicht operierten Kontrollgruppen.
In Studien, die sich über einen Zeitraum von 8 Jahren erstreckten, zeigten 76 % der DBO-Operierten noch ein exzellentes Ergebnis ohne Coxarthrose mit uneingeschränkter Beweglichkeit und völliger Schmerzfreiheit (Abb. 16). Bei dem Rest der Patienten zeigten sich röntgenologisch leichte Arthroseerscheinungen, die klinisch jedoch zu keiner Einschränkung der Bewegung führten und in der Regel auch keine Gabe von Schmerzmitteln erforderten.

DBO arthrosefreies Hüftgelenk nach 8 Jahren
Abbildung 16: Arthrosefreies Hüftgelenk, welches acht Jahre zuvor mit einer Dreifachen Beckenosteotomie stabilisiert wurde.

DBO bilateral Ausheilungsergebnis
Abbildung 17: Ausheilungsergebnis einer bilateralen Dreifachen Beckenosteotomie. Die bisweilen ausbleibende Fusion des Os ischium ist klinisch bedeutungslos.

Fazit
Die Dreifache Beckenosteotomie (DBO) beseitigt nicht nur die Lockerheit des dysplastischen Hüftgelenkes sondern führt zu einem festen und tiefen Sitz des Caput ossis femoris im Acetabulum. Die tragende und belastete Gelenkfläche wird durch die Umstellung verdreifacht bis vervierfacht. Dies führt den Stress auf den Gelenkknorpel in physiologische Dimensionen zurück. Im Idealfall sind im weiteren Verlauf keinerlei röntgenologische Anzeichen einer Coxarthrose zu verzeichnen (Abb. 17). Treten sie bei operierten Patienten mit schwersten HD Graden später dennoch auf, so sind sie von der Form her milde und von keiner Lahmheitssymptomatik begleitet. 92 % der Patienten sind nach spätestens 7 Monaten völlig lahmheitsfrei. Langzeitstudien beweisen, dass die Hunde im Laufe ihres Lebens klinisch fast immer beschwerdefrei sind und selbst im Alter weder antiphlogistische Medikamente noch neuerlicher chirurgischer Interventionen bedürfen. Es wäre wünschenswert, wenn die Tierbesitzer dysplastischer Junghunde mehr über die Chancen und Möglichkeiten informiert würden, die die Dreifache Beckenosteotomie eröffnet. Sie ist bei korrekter Indikationsstellung sowie Erfahrung der Operateure der Goldstandard in der Therapie der juvenilen Hüftgelenksdysplasie und ein Jahrzehnte lang international erprobtes und bewährtes Verfahren.

Anschrift des Autors
Dr. Dieter Müller
Fachtierarzt für Kleintiere, Chirurgie, Augenheilkunde
Kempener Str. 59
52525 Heinsberg
[email protected]
www.mueller-heinsberg.de

Literaturhinweis

  • Dejardin LM: The effects of tripple pelvic osteotomy on the hip force in dysplastic dogs. A theoretical analysisi. Vet Surg 25, 114, 1996
  • Flückiger M.A. et al. A radiographic stress technique for evaluation of coxofemoral laxity in dogs. Vet Surg, 28: 1-9, 1999
  • McLaughlin R.M., Miller C.W. et a. Force plate analysisi of tripple pelvic osteotomy for the treatment of canine hip dysplasia. Vet Surg 20: 291-297, 1991
  • Plante J., Dupuis J, Beauregard G et al. Long term results of conservative treatment, excision arhtroplasty and tripple pelvic osteotomy for the treatment of hip dysplasia in the immature dog. Vet Comp Orthop Traumatol, 10:101-110, 1997
  • Schulz K.S., Dejardin L.M.: Surgical treatment of canine hip dysplasia. Slatter: Textbook of small animal surgery, 3rd ed. 2029-2059, 2003
  • Slocum B., Devine T:Pelvic osteotomy technique for axial rotation of the acetabular segment in the dog. J Am Anim Hosp Assoc 22:331, 1986
  • Slocum B, Devine T: Pelvic osteotomy in the dogs as a treatment for hip dysplasia. Semin Vet Med Surg Small Anim 2:107, 1987