Praxislogo Homepage

Intubation der Katze

Dr. Dieter Müller
FTA für Kleintiere, Chirurgie, Augenheilkunde

Intubation und Laryngospasmus bei der Katze

In Kürze

Die endotracheale Intubation der Katze ist bei weitem nicht so zur Routine geworden wie die des Hundes. Gründe mögen die Kleinheit des Pharynx und besonders die möglichen Komplikationen wie Laryngospasmus und Larynxödem sein, die bei der Katze bevorzugt auftreten können. Hinzu kommt die vermehrte reflektorische Sekretion von Mucus und Bronchialsekret. Dennoch ist die Intubation der Katze, sofern lege artis durchgeführt, nicht so komplikationsreich wie befürchtet. Sie sollte nicht nur beherrscht werden sondern ebenso zur anästhesiologischen Routine gehören wie beim Hund. Die Intubation der Katze sichert die Offenhaltung der Atemwege und ist Voraussetzung für eine unterstützende Beatmung und Inhalationsanästhesie. Beim Laryngospasmus führt der reflektorische krampfartige Verschluss der oberen Atemwege sehr schnell zum Erstickungstod der Katze. Die einzige Rettung besteht in einer unverzüglichen Intubation und nachfolgender unterstützender Beatmung. Ein primäres Einführen des Tracheotubus gelingt dabei in den seltensten Fällen; es darf auch niemals mit Gewalt erfolgen. Die lokale Anästhesie der Schleimhaut des Larynx mit Lidocain ist bei der erste Schritt zur Intubation der Katze. Bei der Notintubation kann durch Einführen eines dünnen Einführungsmandrins aus Rüschelit® in die dorsale Rima glottidis selbst beim hochgradigen Kehlkopfkrampf oder Kehlkopfödem die Engstelle überwunden werden. Nachfolgend wird ein Tracheotubus über dem Mandrin gefädelt und dieser vorgeschoben, ohne dass laryngeale Strukturen verletzt werden. Bei jedem Eingriff, der über eine Kurznarkose hinausgeht, ist die Intubation der Katze dringend zu empfehlen. Sie ist das wichtigste Mittel um die perioperative Sterblichkeitsrate bei Katzen drastisch zu senken.

Der Kehlkopf der Katze

Der Kehlkopf wird von den drei großen hyalinen Knorpeln Cartilago epiglottica, Cartilago thyreoidea und Cartilago cricoidea geformt und gestützt. Die Epiglottis ist in rostro-kaudaler Richtung frei beweglich und hat die Funktion, den mittleren Kehlkopfraum (Glottis) während des Schluckaktes zu schützen. Die paarigen Stellknorpel (Cartilagines arytenoideae) artikulieren mit dem Ringknorpel. Rostral besitzt der Kehlkopf eine Verbindung mit dem Zungenbeinapparat, kaudal wird er durch die Luftröhre gestützt. Die Stimmbänder (Ligamenta vocales) ziehen von den Stimmbandfortsätzen (Processus vocales) der Aryknorpel zur ventralen Mittellinie des Kehlkopfes.

Abb 1 Kehlkopf-offen
Abbildung 1: Larynx der Katze. Rima glottidis (oben) und Plica vocalis sind geöffnet.

Der Larynx funktioniert wie eine Klappe zwischen den oberen und unteren Atemwegen. Seine wichtigsten Funktionen sind der Schutz der unteren Atemwege vor der Inhalation von Fremdkörpern, die Kontrolle des Atemwegdurchmessers während des Atmungszyklus und die Stimmbildung. Die Kehlkopftasche (Ventriculus laryngis) fehlt bei der Katze. Dorsal der Processi cuneiformes der beiden Aryknorpel befindet sich eine bei der Katze eine kleine schmal ovale Öffnung, die als Stimmritze (Rima glottidis) bezeichnet wird. Der Durchmesser der Stimmritze wird durch die Lage und Länge der Stimmfalten bestimmt, die wiederum von der Lage der Aryknorpel abhängen. Eine dorsolaterale Bewegung der Aryknorpel zieht die Stimmfalten auseinander und sorgt damit für eine Erweiterung der Stimmritze. Eine mediane Bewegung führt zu einer Verengung der Stimmritze bis auf eine schlitzartige Öffnung oder zu deren vollständigem Verschluss.
Der Kehlkopf erhält seine Nervenversorgung vom N. vagus über die Nn. laryngei craniales und caudales. Erstere haben primär sensorische Funktionen und innervieren die Schleimhautauskleidung des Kehlkopfes.

Vorteile der endotrachealen Intubation

Die Anästhesie unter endotrachealer Intubation bietet gegenüber einer Narkose ohne Intubation mannigfache Vorteile.

  • Bei einer Inhalationsnarkose erlaubt die Intubation des Patienten eine effizientere Versorgung mit dem Anästhesiegas als bei Einsatz einer Gesichtsmaske.
  • Da der Frischgasfluss gegenüber einer Maske deutlich verringert werden kann, entstehen weniger Verunreinigungen der Raumluft mit Narkosegasen und es tritt eine deutlich geringere Belastung des anwesenden Personals auf.
  • Die Intubation reduziert den Totraum und verbessert die respiratorische Effektivität des Patienten unter Spontanatmung; in den Alveolen der Lunge wird der Gasaustausch gesteigert.
  • Bei insuffizienter oder sistierender Spontanatmung kann der Patient sofort und effektiv mit Sauerstoff beatmet werden.
  • Eine intermittierende positive Druckbeatmung kann mit einem Ambu-Beutel, dem Atembeutel des Narkosegerätes oder einer Beatmungsmaschine erfolgen.
  • Narkosezwischenfällen in Form einer Apnoe kann sofort begegnet werden. Die Atemwege werden ständig offen gehalten.
  • Der Einsatz von neuromuskulären Blockern (Muskelrelaxantien) z.B. bei ophthalmologischen oder thorakalen Eingriffen ist gefahrlos möglich.
  • Die Anwesenheit eines Trachealtubus mit aufgeblasener Manschette verringert das Aspirationsrisiko von Erbrochenem, Blut oder schleimigem Sekret.
  • Bei zahnmedizinischen Eingriffen und bei Patienten, die nicht gefastet haben, ist das Aspirationsrisiko besonders hoch. Die Intubation bietet hier eine Risikominimierung.

Probleme bei der endotrachealen Intubation

Der N. glossopharyngicus und Teile des N. vagus sind verantwortlich für die motorische Innervation des Larynx. Durch den Vorgang der Intubation kann die Vagus-Aktivität gesteigert werden. Ein erhöhter Vagotonus kann zu Bradykardie, Blutdruckabfall, Arrhythmie und Bronchosekretion führen. Bei Hunden wird routinemäßig die präanästhetische Gabe von Atropin empfohlen; bei Katzen ist dessen Einsatz wegen der Gefahr exzessiver Tachykardien individuell abzuwägen; bei erhöhtem Speichelfluss jedoch anzuraten.
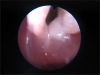
Katzen sind wegen der Kleinheit ihres Oropharynx nicht immer leicht zu intubieren. Durch die Wölbung der Zungenoberfläche ist die relativ tief liegende Epiglottis nicht immer direkt einsehbar.

Abb 2 Larynx-schwer-einsehbar
Abbildung 2: Blick in den Pharynx der Katze. Der Kehlkopf ist nur schwer einzusehen.

Ein Maulsperrer (Abbildung 12) sowie ein beleuchteter Intubationsspatel (Abbildung 13) sind wichtige Hilfsmittel zur schonenden Intubation.
Unsensible kräftige Intubationsversuche zur Überwindung eines Widerstandes sind bei Katzen obsolet. Die Rima glottidis ist bei ihnen besonders schmal und kann dadurch sehr leicht verletzt werden.
Bei Katzen besteht die Gefahr, dass die Tracheotuben zu weit vorgeschoben werden und es zu einer hemibronchialen Intubation kommt, wobei nur eine Lungenhälfte ventiliert wird. Das Ende des Tubus sollte etwa in der Mitte zwischen Larynx und Apertura thoracica liegen. Viele handelsübliche Trachealtuben sind zu lang für den speziellen Einsatz bei Katzen. Sie sollten zur Reduktion des Totraumes gekürzt werden.
Bei exzessiven Aufblasen der Manschette kann es zu einer Ischämie mit nachfolgender Schleimhautnekrose in der Trachea kommen. Katzen sind wesentlich empfindlicher als z.B. Hunde. Aus diesem Grunde sollten nur Niederdruck-Manschetten oder Tuben ohne Manschetten verwendet werden. Bei roten Gummituben sollte die Hochdruck-Manschette höchstens 30 Minuten lang aufgeblasen bleiben und danach ihre Position verschoben werden.

Die geringen inneren Durchmesser von Katzen-Trachealtuben führen zu einer besonderen Anfälligkeit für Verstopfungen durch Blut- oder Schleimansammlungen. Sie müssen bei der Wiederaufbereitung deshalb besonders sorgfältig gereinigt, durchgeblasen und kontrolliert werden.

Bei der Befestigung am Patienten ist es von besonderer Bedeutung, dass die Tuben nicht versehentlich geknickt werden oder durch Gazebinden stranguliert werden. Die Folge wäre eine Verlegung der oberen Atemwege, die einen schwerwiegenden anästhetischen Notfall darstellt.

Abb 3 Cole-Tracheotubus
Abbildung 3: Cole Trachealtubus mit konisch zulaufendem Ende

Abb 4 Endotrachealtuben-Ktz
Abbildung 4: Für die Katze geeignete Trachealtuben. Die unteren beiden Trachealtuben ohne Manschette eignen sich besonders für die Notintubation.

Abb 5 Tubus-mit-Mandrin
Abbildung 5: Einführungsmandrin aus Rüschelit® mit spiralverstärktem Latextracheotubus und ballonartigem High Pressure Cuff (Fa. Rüsch).

Trachealtuben für die Katze

  • Cole Tuben
  • ohne Manschette mit konisch zulaufendem Endstück. Die Abdichtung erfolgt durch den großlumigeren Abschnitt des Tubus. Heute nicht mehr im Handel.
  • Tracheotuben ohne Manschette
  • mit besonders kleinen inneren Durchmessern (2,5 – 3,0 – 3,5 mm). Für Jungtiere und für Notfall-Intubation
  • Tracheotuben mit ballonartigen Manschetten
    aus rotem Gummi oder Silikon. High Pressure Cuffs mit Gefahr von Schleimhautnekrosen
  • Tracheotuben mit zylinderartigen Manschetten
    aus Plastikmaterialien. Low Pressure Cuffs, die die Trachealschleimhaut weniger gefährden
  • Tracheotuben mit „Murphys Hole“
    ein seitliches Loch bietet zusätzliche Sicherheit, falls ein Schleimpfropf am Ende des Tubus diesen verlegen sollte.

Desinfektion der Tracheotuben

In der Humanmedizin werden die Trachealtuben nach einmaligem Gebrauch verworfen. In Tierarztpraxen ist die Wiederverwendung üblich. Nach Reinigung ist eine Desinfektion notwendig. Bei einer chemischen Kaltdesinfektion können unter Umständen, besonders bei Tuben aus rotem Gummi, Desinfektionsmittel-Rückstände in das Material diffundieren und zu einer Irritation der Mukosa der Luftröhre oder Hustenanfällen führen.
Bei empfindlichen Katzen kann gelegentlich ein bis zwei Tage postoperativer Husten auftreten, der ohne Behandlung abklingt.

Katzen überhaupt intubieren?

Wegen der möglichen Probleme bei der Intubation der Katze wird häufig auf diese wichtige Sicherheitsmaßnahme verzichtet. Häufig werden Katzen aus reiner Bequemlichkeit nicht intubiert und die Inhalationsnarkosen mit Masken durchgeführt. Unter oberflächlicher Anästhesie von kurzer Dauer mit einem Injektionsnarkotikum kann auf eine Intubation verzichtet werden, solange der Schluckreflex erhalten bleibt. Von dieser Ausnahme abgesehen kann eine Intubation bei der Katze aus Sicherheitsgründen auch bei so genannten Routineoperationen nicht nachhaltig genug empfohlen werden.

Hinweis: Bei Katzen kann auch bei Verwendung einer Maske ein Laryngospasmus auftreten, wenn sie gezwungen werden hohe Konzentrationen eines Narkosegases einzuatmen (Maskeneinleitung).

Der feline Laryngospasmus und das „Schlüsselloch“

Schon bei geringsten Irritationen wie etwa einem sanften Berühren kommt es bei Katzen häufig zu einem reflexartigen Verschluss des Kehlkopfes durch die laryngealen Knorpel. Der laryngeale Reflex ist bei dieser Spezies extrem ausgebildet.

Abb 6 Laryngeales-Ödem
Abbildung 6: Larynx nur noch halb geöffnet. Die Stimmbänder liegen bereits eng aneinander.

Abb 7 Rima-offen-Plica-zu
Abbidlung 7: Weiter fortschreitender Laryngospasmus gegenüber Abbildung 6.

Abb 8 Schlüsselloch-beim-Laryngos
Abbildung 8: Laryngospasmus - nur noch das kleine obere „Schlüsselloch“ der Rima glottidis ist geöffnet.

Selbst bei ausgeprägtem Laryngospasmus bleibt bei der Katze im dorsalen Bereich der Rima glottidis eine winzig kleine Öffnung erhalten. Dieses „Schlüsselloch" kann man bei der Notintubation der Katze (siehe unten) immer mit einem dünnen Mandrin passieren, selbst wenn die Stimmlippen fest aneinander gepresst sind. Für eine funktionelle Atmung reicht die kleine Öffnung jedoch keinesfalls aus.

Der Laryngospasmus führt häufig zu einer vollständigen Blockade des Atemweges und Asphyxie.


Abbildung 9: Laryngospasmus – Rima glottidis vollständig verschlossen. Auch das „Schlüsselloch“ ist nicht mehr sichtbar. Dennoch kann an dieser Stelle der Mandrin behutsam eingeführt werden.

Die Schleimhäute werden sehr schnell zyanotisch und es besteht eine perakute Erstickungsgefahr, wenn der Laryngospasmus nicht sofort beseitigt werden kann. In der Literatur werden die unterschiedlichsten Methoden zur Bewältigung der Krise empfohlen: Von der Parforce-Intubation (absolut obsolet), der intratrachealen großlumigen Punktion, dem Luftröhrenschnitt bis hin zur Gabe von Muskelrelaxantien.
Im Vorfeld der Intubation sollte der Anästhesist jede Berührung des Larynx vermeiden. Zur Desensibilisierung wird häufig ein Lidocain-Spray appliziert, um die Schleimhäute unempfindlich zu machen und einen Laryngospasmus zu verhindern. Alternativ können lidocainhaltige Gleitmittel auf die Tracheotuben aufgetragen werden. Allerdings wirkt diese Methode nicht schnell genug, um die Stimmritze im Notfall für die Intubation zu desensibilisieren. Während der postanästhetischen Phase bleiben die laryngealen Strukturen jedoch noch ausreichend lange desensibilisiert, so dass die zu Recht gefürchteten bronchialen Sekretionen, Hustenanfälle und Laryngospasmen nach der Extubation von Katzen ausbleiben.

Symptome des felinen Laryngospasmus

Katzen, die einen Laryngospasmus oder ein laryngeales Ödem erleiden, können sowohl hörbare keuchende (Stridor) als auch röchelnde (Stertor) Atemgeräusche von sich geben. Zudem zeigen sie häufig übertriebene Thoraxbewegungen, schnappen nach Luft und heben den Kopf während eines Inspirationsversuches.
Nach Öffnung des Fanges und dem Vorziehen der Zunge ist der Larynx ödematisiert oder wegen aufgequollener Schleimhaut nicht zu sehen.
Der Laryngospasmus muß von einem Knurren oder Brummen, welches während der Aufwachphase auftreten kann und völlig harmlos ist, unterschieden werden. Dabei treten die Lautäußerungen während der Exspiration auf; beim Laryngospasmus treten sie während der Inspiration auf.
Bei Anzeichen eines Laryngospasmus ist sofort die Farbe der Zunge oder Mundschleimhäute zu kontrollieren, noch aussagekräftiger ist die Pulsoximetrie.
Bei rosa Schleimhäuten und einer Sauerstoffsättigung von über 90 % liegt nur eine partielle Atemwegsobstruktion vor. Die Situation kann sich auch ohne Behandlungsmaßnahmen normalisieren; besser ist auf jeden Fall die Gabe von Sauerstoff über eine Maske, solange dies nicht zu einem Stress für die Katze führt. Es kann auch helfen, wenn man den Nacken streckt und die Zunge vorsichtig vorzieht.
Bei einer Zyanose bzw. einer Sauerstoffsättigung unter 90 % und einem Bewusstseinsverlust müssen die Katzen unbedingt intubiert werden um den nahen Exitus abzuwenden!
Wenn die normale Intubation, aus welchen Gründen auch immer nicht möglich ist, retten eine „Notintubation" (siehe unten), eine sofortige Tracheotomie oder die Punktion der Trachea mit einer großlumigen Kanüle oder Braunüle (14 Gauge) das Leben der Katze.
Anschließend sollte die Katze etwa zwei Stunden anästhesiert bleiben und intravenös Methyl-Prednisolon, Furosemid und ev. Theophyllin verabreicht werden, um die Schwellungen zum Abklingen zu bringen.
Die Extubation kann erfolgen, wenn die Stimmritze weniger rund und abgeschwollen aussieht.

Hinweis: Der Laryngospasmus bei Katzen ist leichter zu verhindern als zu  behandeln.

Intubationstechnik bei der Katze

Unter Ketaminnarkosen bleibt der Larynxreflex bei der Katze selbst im Toleranzstadium meist erhalten, was eine Intubation erschwert. Eine schonende Intubation erfordert eine Lokalanästhesie des Larynx. Diese kann mittels eines 10%igen Lidocain-Sprays aus der Humanmedizin erfolgen, wobei die darin enthaltenen Zusatz- und Geschmacksstoffe (Banane) selbst ein Larynxödem auslösen können. Pro Hub werden beim Lidocain-Spray 100 mg Xylocain freigesetzt. Besser ist auf jeden Fall die Verwendung eines Lidocain-Gels, welches mit einer Knopfkanüle behutsam auf die Stimmritze aufgetragen werden kann. Eine Überdosierung von Lokalanästhetika (z. B. mehr als 1 Sprühstoß beim Spray) ist auf jeden Fall zu vermeiden. Es kann eine postoperativ langanhaltende Kehlkopfparalyse eintreten: die Katze kann dabei nicht mehr schlucken.

Abb 10 Xylocain-Pumpspray
Abbildung 10: 10%iges Lidocain-Spray (Xylocain®)

Abb 11 Xylocain-Gel
Abbildung 11: 2%iges Lidocain-Gel

Am einfachsten gelingt die Intubation der Katze unter Sicht in der Bauchlage . Voraussetzung ist eine intubationsfähige Narkosetiefe, die daran zu erkennen ist, dass ein Maulsperrer ohne Abwehr einzusetzen ist. Ein zu wacher Patient bzw. eine zu flache Narkose sind an heftigen Atembewegungen zu erkennen. Bei Intubationsversuchen in diesem Stadium kann sich die Situation schnell verschlechtern.

Abb 12 Maulsperrer
Abbildung 12: Maulsperrer für Katzen (Fa. Heiland)

Abb 13 Leuchtspatel
Abbildung 13: Leuchtspatel für Katzen mit schmaler Spitze (Fa. Heiland)

Hinweis: Bei zu tiefer Narkose kann es zu einer den Abwehrbewegungen nicht unähnlich aussehenden Schnappatmung kommen – nicht verwechseln!

Intubation der Katze in Brust- Bauchlage

  • Maulsperrer einsetzen oder Fang von Assistenz mit Gazebinden aufhalten lassen
  • Kopf und Hals der Katze strecken
  • Zunge behutsam hervorziehen. Dadurch wird der Kehlkopf ebenfalls etwas rostral verlagert.
  • Lidocain-Spray oder Lidocain-Gel applizieren
  • Wirkungseintritt abwarten
  • Unter Zuhilfenahme eines Leuchtspatels unter Sicht intubieren
  • Manschette (sofern vorhanden) blocken
  • Tracheotubus befestigen
    am Maulsperrer mit Klebeband oder mit Mullbinde am Kopf

Intubation bei Laryngospasmus – die Notintubation

Bei einem Laryngospasmus der Katze muss unverzüglich und zielgerichtet gehandelt werden – ohne sofortige Intubation wird der Patient sterben!

Die in der Literatur zur Beseitigung des Laryngospasmus erwähnten Methoden der Maskenapplikation von Sauerstoff, der Gabe eines Muskelrelaxans (3,5-5 mg Suxamethonium i.v.) oder des Aufragens von Lidocain erweisen sich in der Praxis als völlig ungeeignete Mittel, die den lebensbedrohlichen Verschluss der oberen Atemwege der Katze nicht rasch genug beseitigen können.

Ist die Katze nicht mehr relaxiert genug, so muß die Hypnose wieder vertrieft werden z.B. durch die intravenöse Gabe von Propofol.

Die mandringeführte Technik der Intubation gelingt hingegen in allen Situationen eines Laryngospasmus oder laryngealen Ödems. Eine Assistenz zur Fixierung der Katze ist dringend geboten.

Als ideale Leitschiene erweist sich ein abgerundeter plastikummantelter flexibler Führungsdraht von ca. 35 cm Länge und einem äußeren Durchmesser von 2 mm (Mandrin aus Rüschelit® für Spiraltracheotuben, Fa. Rüsch).

Abb 14 Mandrin
Abbildung 14: Mandrin aus Rüschelit® für Intubationszwecke mit 2 mm Durchmesser

Dieser wird an seinem abgerundeten distalen Ende mit Lidocain-Gel bestrichen. Unter Sicht gelingt es selbst bei einem ausgeprägten Laryngospasmus, den Verschluss der Stimmritze sanft zu überwinden und den Mandrin intratracheal vorzuschieben.

Abb 15 Mandrin-vor-Rima
Abbildung 15: Mandrin vor der fast geschlossenen Rima glottidis.

Abb 16 Mandrin-überwindet-Rima
Abbildung 16: Mandrin hat die Stimmritze passiert und wird intratracheal vorgeschoben.

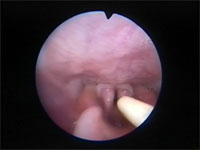
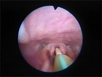
Über diesen Mandrin kann im zweiten Schritt ein ebenfalls mit wenig Lidocain-Gel präparierter Plastiktrachealtubus von 2,5 bis 3,5 mm innerem Durchmesser behutsam vorgeschoben werden, wobei die vorsichtige Passage der Plica vocalis ohne Schwierigkeiten gelingt.

Abb 17 Vorschieben-des-Tracheotubu
Abbildung 17: Der über den Mandrin gefädelte Tracheotubus ist mit Xylocain®-Gel bestrichen und wird behutsam durch die Stimmfalte vorgeschoben

Nach Ziehen des Mandrins ist die Intubation bewerkstelligt und die Verlegung der Atemwege beseitigt.

Abb 18 Tracheotubus-in-Trachea
Abbildung 18: Tracheotubus in Endlage. Der Mandrin ist entfernt. Man erkennt das laryngospasmusbedingte enge Anliegen der Plica vocalis am Tubus.

Im Notfall empfiehlt sich der Einsatz von Cole Trachealtuben oder Plastiktrachealtuben ohne Manschette (2,5 oder 3 mm), wobei im Zweifelsfalle immer der kleinlumigere Tubus zu wählen ist. Tracheotuben mit aufblasbarer Manschette bieten bei der Passage der Stenosestelle zu viel Widerstand und erhöhen die Verletzungsgefahr des Larynx. Auch wenn die Atemwege wegen der fehlenden Manschette bei dieser Notintubation nicht vollständig abgedichtet sind, so gelingt doch eine positive Druckbeatmung der Katze mit reinem Sauerstoff oder dem Atembeutel, um wieder eine ausreichende Oxygenierung zu erreichen.

Die Extubation der Katze

Während der Aufwachphase müssen intubierte Katzen sorgfältig überwacht werden, damit der Tubus entfernt wird bevor der Schluckreflex einsetzt. Bei wiedererlangtem Bewusstsein neigen Katzen dazu den Tubus abzubeißen, wobei der distale Teil intratracheal verbleiben kann. Seine Entfernung erfordert eine erneute Anästhesie und kann durchaus eine Herausforderung darstellen. Unglücklicher Weise kann bereits das Ziehen des Tracheotubus einen reflexartigen Verschluss des Larynx auslösen. Dieser Reflex ist normalerweise sehr nützlich, weil er die Aspiration von Futter oder Wasser bei Katzen verhindert; sind diese jedoch bewusstlos kann aus ihm ein vollständiger Verschluss der Atemwege resultieren.

Abb 19 Extubation
Abbildung 19: Extubation – am besten vor Rückkehr des Schluckreflexes.

Der richtige Zeitpunkt zur Extubation wird sehr unterschiedlich gesehen. Bei Katzen wird mehrheitlich dazu geraten, den Tubus schon vor Einsetzen des Schluckreflexes und des laryngealen Reflexes unbedingt zu entfernen, weil nur so eine Reizung des Katzenkehlkopfes und letal endende Laryngospasmen verhindert werden könnten. Auch sei die Verschleimungstendenz der oberen Atemwege geringer und ein Abbeißen und Verschlucken des Tubus unmöglich. Die Früh-Extubierten sind dennoch lückenlos zu überwachen um Atemprobleme sofort erkennen und behandeln zu können.
Auch bei der Früh-Extubation besteht das Risiko eines postoperativen Broncho- und Laryngospasmus; besonders wenn während der Intubation auf eine lokale Lidocain-Betäubung des Kehlkopfes verzichtet wurde.
Die bei Tracheotuben aus rotem Gummi häufiger gesehenen Laryngospasmen kann man durch Verwenden von modernen Tuben aus inertem Material (Polyäthylen, Silikon) vermeiden.

Hinweis: Die durch einen Broncho- bzw. Laryngospasmus ausgelöste Dyspnoe ist die häufigste Todesursache in der postanästhetischen Phase bei Katzen!

Fazit

Die endotracheale Intubation der Katze ist problemlos möglich und verbessert gravierend die Sicherheit jeder felinen Anästhesie. Sie senkt selbst bei als harmlos geltenden Standardeingriffen die perioperative Sterblichkeitsrate, da die oberen Atemwege immer offen gehalten werden. Beim Laryngospasmus oder Larynxödem kann nur noch die sofortige endotracheale Notintubation das Leben des Patienten retten. Das dafür notwendige Instrumentarium besteht aus Maulsperrer, Leuchtspatel, Lidocain-Gel, flexiblen dünnen Mandrin und manschettenlosen Trachealtuben mit 2,5 bis 3,0 mm innerem Durchmesser. Ein solches Intubations- und Notfallset kann nicht nachdrücklich genug jeder Praxis empfohlen werden.

Anschrift des Autors
Dr. Dieter Müller
Fachtierarzt für Kleintiere, Chirurgie; Augenheilkunde
Kempener Str. 59
D 52525 Heinsberg
mailto:[email protected]

Literaturverzeichnis

Cassu Renata N, Stelio PL Luna, Francisco J Teixeira Neto, Jose RC Braz, Simone S Gasparini, Adalberto J Crocci: „Evaluation of Laryngeal Mask as an Alternative to Endotracheal Intubation in Cats Anesthetized Under Spontaneous or Controlled Ventilation“ Vet Anaesth Analg 31[3]:213-221 Jul 2004

Crowe Dennis T. Jr.: Rapid Sequence Intubation and Surgical Intervention in Respiratory Emergencies” Vet Med 98[11]:954-968 Nov'03

Erhardt, W., Henke J., Lendl C: „Narkose-Notfälle“, 168–169, Enke 2002

Erhardt W., Henke J., Haberstroh J.: “Anästhesie & Analgesie beim Klein- und Heimtier“, 229-236, 560-564, Schattauer, 2004

Hall L. W., Clarke K. W., Trim C. M.: “Veterinary Anaesthesia”, 446-447, 513, Saunders 2001

White Richard A. S. in Hedlund C., Tabonada J.: “Farbatlas der Hals-Nasen-Ohren-Erkrankungen bei Kleintieren“, 113-125, Schlütersche Verlagsanstalt 2002

Horzinek M. C., Schmidt V., Lutz H.: „Krankheiten der Katze“, 3. Auflage, 266-267, 631-633, 734-736, Enke, 2003

Kraft W., Dürr U. M., Hartmann K.: „Katzenkrankheiten – Klinik und Therapie“, 5. Auflage, 665, 1373-1375, M. & H. Schaper, 2003

Lerche P, Muir WW, Grubb TL: “Mask induction of anaesthesia with isoflurane or sevoflurane in premedicated cats”, J Small Anim Pract 43[1]:12-5 2002 Jan

McKelvey D., Hollingshead K. W.: “Small Animal Anesthesia & Analgesia”, 2 nd ed., Mosby 2000

Mitchell Susan L., Robert McCarthy, Elke Rudloff, Robert T. Pernell: “Tracheal Rupture Associated with Intubation in Cats: 20 Cases (1996-1998)”, J Am Vet Med Assoc 216[10]:1592-1595 May 2003

Paddleford Robert R. : “Manual of Small Animal Anesthesia”, 2 nd ed., Saunders 1999

Rieser TM: “Cardiopulmonary resuscitation”, Clin Tech Small Anim Pract 15[2]:76-81 2000 May

Sano T, Nishimura R, Mochizuki M, Hara Y, Tagawa M, Sasaki N:“Clinical usefulness of propofol as an anesthetic induction agent in dogs and cats” J Vet Med Sci 65[5]:641-3 2003 May

Tseng LW, Waddell LS: “Approach to the patient in respiratory distress”, Clin Tech Small Anim Pract 15[2]:53-62 2000 May

Welch Sharon L.: “Local Anesthetic Toxicosis”, Vet Med 95[9]:670-673 Sep 2000